SMAD2 Recombinant Monoclonal Antibody

Code CSB-RA955967A0HU
Size US$210
Order now
Image
  • Flow cytometric analysis of phospho-Smad2 (S250) expression in C2C12 cells using phospho-Smad2 (S250) antibody. Green, isotype control; red, phospho-Smad2 (S250).
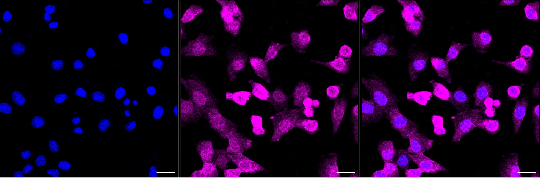
  • Immunocytochemical staining of C2C12 cells with Phospho-Smad2 (S250) antibody. Nuclei were stained blue with DAPI; Phospho-Smad2 (S250) was stained magenta with Alexa Fluor® 647. Images were taken using Leica stellaris 5. Protein abundance based on laser Intensity and smart gain: Medium. Scale bar, 20 μm.
  • Western blotting analysis using phospho-Smad2 (S250) antibody. Total cell lysates (30 μg) from various cell lines were loaded and separated by SDS-PAGE. The blot was incubated with phospho-Smad2 (S250) antibody and HRP-conjugated goat anti-rabbit secondary antibody respectively.
Have Questions? Leave a Message or Start an on-line Chat

Product Details

Uniprot No.
Target Names
Alternative Names
SMAD2; SMAD Family Member 2; JV18-1; MADR2; MADH2; Mothers Against Decapentaplegic Homolog 2; MAD Homolog 2; HMAD-2; HSMAD2; MAD, Mothers Against Decapentaplegic Homolog 2 (Drosophila); SMAD, Mothers Against DPP Homolog 2 (Drosophila); SMAD, Mothers Against DPP Homolog 2; Sma- And Mad-Related Protein 2; Mothers Against DPP Homolog 2; Mother Against DPP Homolog 2; Mad-Related Protein 2; SMAD 2; CHTD8; Smad2; JV18; LDS6
Species Reactivity
Human, Mouse, Rat
Immunogen
Recombinant Human SMAD2 protein
Immunogen Species
Homo sapiens (Human)
Conjugate
Non-conjugated
Clonality
Monoclonal
Isotype
Rabbit IgG
Clone No.
2C6
Purification Method
Affinity-chromatography
Concentration
It differs from different batches. Please contact us to confirm it.
Buffer
Rabbit IgG in PBS (pH 7.4) containing 50% glycerol, and 0.02% sodium azide.
Form
Liquid
Tested Applications
ELISA, WB, FC, ICC
Recommended Dilution
Application Recommended Dilution
WB 1:1000-1:5000
FC 1:200-1:2000
ICC 1:100-1:1000
Troubleshooting and FAQs
Storage
Upon receipt, store at -20°C or -80°C. Avoid repeated freeze.
Lead Time
Basically, we can dispatch the products out in 1-3 working days after receiving your orders. Delivery time maybe differs from different purchasing way or location, please kindly consult your local distributors for specific delivery time.
Usage
For Research Use Only. Not for use in diagnostic or therapeutic procedures.

Customer Reviews and Q&A

 Customer Reviews

There are currently no reviews for this product.

Submit a Review here

Target Background

Function
Receptor-regulated SMAD (R-SMAD) that is an intracellular signal transducer and transcriptional modulator activated by TGF-beta (transforming growth factor) and activin type 1 receptor kinases. Binds the TRE element in the promoter region of many genes that are regulated by TGF-beta and, on formation of the SMAD2/SMAD4 complex, activates transcription. May act as a tumor suppressor in colorectal carcinoma. Positively regulates PDPK1 kinase activity by stimulating its dissociation from the 14-3-3 protein YWHAQ which acts as a negative regulator.
Gene References into Functions
  1. Overall, these findings suggest a more dominant role for SMAD3 and SMAD4 than SMAD2 in TGFbeta-induced chondrogenesis of human bone marrow-derived mesenchymal stem cells. PMID: 28240243
  2. the results of the present study indicated that miR4865p was upregulated in Osteoarthritis and may inhibit chondrocyte proliferation and migration by suppressing SMAD2. PMID: 29749497
  3. relevance of the discovered Sirt1-Smad2 interaction for the regulation of TGFbeta-dependent gene transcription PMID: 29187201
  4. Our present study indicated that S100A11 promotes EMT through accumulation of TGF-beta1 expression, and TGF-beta1-induced upregulation of p-SMAD2 and 3. PMID: 29569474
  5. the results of the present study indicated that miR2145p may promote the adipogenic differentiation of BMSCs through regulation of the TGFbeta/Smad2/COL4A1 signaling pathway, and potentially may be used to develop a novel drug for postmenopausal osteoporosis. PMID: 29532880
  6. High SMAD2 expression is associated with fibrosis in chronic pancreatitis and pancreatic cancer. PMID: 29328490
  7. The results suggest that co-expression of active SMAD2/3 could enhance multiple types of transcription factors (TF)-based cell identity conversion and therefore be a powerful tool for cellular engineering. PMID: 29174331
  8. We found that ITZ treatment was efficient in suppressing EMT and that the effect of ITZ was partially mediated by impaired TGF-b/SMAD2/3 signaling. The role of TGF-b/SMAD2/3 signaling in mediating the effect of ITZ was confirmed based on the results that recombinant TGF-b induced, but the TGF-b neutralizing antibody inhibited EMT as well as the invasion and migration of pancreatic cancer cells PMID: 29484419
  9. SMAD2/3 interactome reveals that TGFbeta controls m(6)A mRNA methylation in pluripotency PMID: 29489750
  10. This study's findings provide new insights into the mechanisms of how oscillatory shear stress regulates Smad2 signaling and pro-inflammatory genes through the complex signaling networks of integrins, transforming growth factor-beta receptors, and extracellular matrices, thus illustrating the molecular basis of regional pro-inflammatory activation within disturbed flow regions in the arterial tree. PMID: 29295709
  11. our findings demonstrated that thymoquinone suppressed the metastatic phenotype and reversed EMT of prostate cancer cells by negatively regulating the TGF-beta/Smad2/3 signaling pathway. These findings suggest that thymoquinone is a potential therapeutic agent against prostate cancer which functions by targeting TGF-beta PMID: 29039572
  12. MicroRNA-486-5p suppresses TGFB2-induced proliferation, invasion and epithelial-mesenchymal transition of lens epithelial cells by targeting Smad2. PMID: 29229876
  13. was found that treatment with iPSC-CM markedly reduced the proliferation of TGF-beta1-exposed cells, and the activities of TGF-beta1, Smad-2 and Smad-3. Accompanied by alterations in the expression of the indicated molecules, the lung structure of mice with PF was also markedly ameliorated. PMID: 29115383
  14. We found expression of pSmad2/3 and Smad4 in different liver tissues, with up-regulated expression of both antibodies in chronic hepatitis C with higher stage of fibrosis and higher grade of activity. PMID: 29924446
  15. TGFbeta and IL1beta signaling interact at the SMAD2/3 level in human primary MSC. Down-stream TGFbeta target genes were repressed by IL1beta independent of C-terminal SMAD2 phosphorylation. We demonstrate that SMAD2/3 linker modifications are required for this interplay and identified TAK1 as a crucial mediator of IL1beta-induced TGFbeta signal modulation. PMID: 28943409
  16. Our studies provide a molecular mechanism by which UCHL5 mitigates TGFbeta-1 signaling by stabilizing Smad2/Smad3. These data indicate that UCHL5 may contribute to the pathogenesis of idiopathic pulmonary fibrosis and may be a potential therapeutic target. PMID: 27604640
  17. we demonstrated that the downregulation of CLDN6 is regulated through promoter methylation by DNMT1, which depends on the SMAD2 pathway, and that CLDN6 is a key regulator in the SMAD2/DNMT1/CLDN6 pathway to inhibit EMT, migration and invasion of breast cancer cells PMID: 28867761
  18. High Expression of Smad2 is associated with liver cancer. PMID: 28415588
  19. Whereas autocrine signalling activates Smad2/3 in differentiating extravillous trophoblasts, paracrine factors contribute to Smad phosphorylation in these cells. PMID: 28864007
  20. Kidney samples from patients with advanced stages of diabetic nephropathy showed elevated pSmad2 staining. PMID: 28805484
  21. Smad2 (and myostatin) were significantly up-regulated in the failing heart of female patients, but not male patients. PMID: 28465115
  22. Nodal signaling through the Smad2/3 pathway up-regulated Slug, Snail and c-Myc to induce EMT, thereby promotingVasculogenic mimicry (VM) formation. PMID: 27659524
  23. this study shows that EGF induces epithelial-mesenchymal transition through phospho-Smad2/3-Snail signaling pathway in breast cancer cells PMID: 27829223
  24. Multiple myeloma cells adapted to long-term exposure to hypoxia exhibit stem cell characteristics with TGF-beta/Smad pathway activation. PMID: 29309790
  25. a novel heterozygous missense mutation (c.833C>T, p.A278V) in the SMAD2 gene in a family with early onset aortic aneurysms PMID: 28283438
  26. Data suggest that oncogenic Y-box binding protein 1 (YB-1) indirectly enhances transforming growth factor beta (TGFbeta) signaling cascades via Sma/Mad related protein 2 (Smad2)phospho-activation and may represent a promising factor for future diagnosis and therapy of breast cancer. PMID: 29187452
  27. Asiaticoside hindered the invasive growth of KFs by inhibiting the GDF-9/MAPK/Smad pathway. PMID: 28346732
  28. High Smad2 expression is associated with invasion and metastasis in pancreatic ductal adenocarcinoma. PMID: 26908446
  29. Data indicate that miR-206 inhibits neuropilin-1 (NRP1) and SMAD2 gene expression by directly binding to their 3'-UTRs. PMID: 27014911
  30. Results show that members of the Activin branch of the TGFbeta signaling pathway, namely Put and Smad2, are autonomously required for cell and tissue growth in the Drosophila larval salivary gland. PMID: 28123053
  31. CytoD modified MKL1, a coactivator of serum response factor (SRF) regulating CTGF induction, and promoted its nuclear localization. PMID: 27721022
  32. cells expressing mutant huntingtin have a dysregulated transcriptional response to epidermal growth factor stimulation PMID: 27988204
  33. CRT regulates TGF-beta1-induced-EMT through modulating Smad signaling PMID: 28778674
  34. P311 is a novel TGFbeta1/Smad signaling-mediated regulator of transdifferentiation in epidermal stem cells during cutaneous wound healing. PMID: 27906099
  35. human epidermal growth factor receptor 2 (HER-2) levels, were correlated well with TSP50/p-Samd2/3 and TSP50/p27 expression status. Thus, our studies revealed a novel regulatory mechanism underlying TSP50-induced cell proliferation and provided a new favorable intervention target for the treatment of breast cancer PMID: 28650473
  36. IL-17 can induce A549 alveolar epithelial cells to undergo epithelial-mesenchymal transition via the TGF-beta1 mediated Smad2/3 and ERK1/2 activation PMID: 28873461
  37. a critical role for miR-503-3p in induction of breast cancer EMT PMID: 28161325
  38. Nuclear localization of Smad2 was reduced in TGFbeta-1-stimulated primary tubular epithelial cells. Changes in nuclear Smad2 correlated with a reduced expression of the pro-fibrotic factor CTGF. Transient downregulation of Smad2 interfered with TGFbeta-1-induced CTGF synthesis. PMID: 27155083
  39. Low SMAD2 expression is associated with progression of hepatic fibrosis. PMID: 28423499
  40. In order to study the translation between mouse model and patients, we evaluated the signature of phosphorylated Sma- and Mad-related protein 2 (pSmad2), as molecular marker of TGF-beta/activin activity, in the kidneys of streptozotocin (STZ)-treated mice compared to that of type 1 diabetes (T1D) patients. PMID: 28064277
  41. SMAD2/SMAD3 signaling by bone morphogenetic proteins causes disproportionate induction of HAS2 expression and hyaluronan production in immortalized human granulosa cells. PMID: 26992562
  42. miR-27a contributed to cell proliferation and invasion by inhibiting TGF-beta-induced cell cycle arrest. These results suggest that miR-27a may function as an oncogene by regulating SMAD2 and SMAD4 in lung cancer. PMID: 28370334
  43. cPLA2alpha activates PI3K/AKT and inhibits Smad2/3 during epithelial-mesenchymal transition of hepatocellular carcinoma cells. PMID: 28649002
  44. selective inhibition of SMAD3 or CCT6A efficiently suppresses TGF-beta-mediated metastasis. Findings provide a mechanism that directs TGF-beta signaling toward its prometastatic arm and may contribute to the development of therapeutic strategies targeting TGF-beta for non-small-cell lung carcinoma. PMID: 28375158
  45. In response to TGF-beta, RASSF1A is recruited to TGF-beta receptor I and targeted for degradation by the co-recruited E3 ubiquitin ligase ITCH. RASSF1A degradation is necessary to permit Hippo pathway effector YAP1 association with SMADs and subsequent nuclear translocation of receptor-activated SMAD2. PMID: 27292796
  46. Smad2 is a key scaffold, allowing RIN1 to act as a GTP exchange factor for MFN2-GTPase activation to promote mitochondrial ATP synthesis and suppress superoxide production during mitochondrial fusion. PMID: 27184078
  47. Ang down-regulate the expression of Col-I, alpha-SMA and TGF-beta1/Smad2/3 and subsequently inhibits fibroblast-myofibroblast transition. PMID: 27543459
  48. Our findings suggest a stronger chondrogenic potential of CD105(+) SMSCs in comparison to that of CD105(-) SMSCs and that CD105 enhances chondrogenesis of SMSCs by regulating TGF-beta/Smad2 signaling pathway, but not Smad1/5. Our study provides a better understanding of CD105 with respect to chondrogenic differentiation. PMID: 27107692
  49. the findings show that TIEG1 is highly expressed in human keloids and that it directly binds and represses Smad7 promoter-mediated activation of TGF-beta/Smad2 signaling PMID: 28108300
  50. High expression of SMAD2 is associated with colorectal carcinoma. PMID: 27959430

Show More

Hide All

Subcellular Location
Cytoplasm. Nucleus.
Protein Families
Dwarfin/SMAD family
Tissue Specificity
Expressed at high levels in skeletal muscle, endothelial cells, heart and placenta.
Database Links

HGNC: 6768

OMIM: 601366

KEGG: hsa:4087

STRING: 9606.ENSP00000262160

UniGene: Hs.12253

CUSABIO guaranteed quality
icon of phone
Call us
301-363-4651 (Available 9 a.m. to 5 p.m. CST from Monday to Friday)
icon of address
Address
7505 Fannin St., Ste 610, Room 7 (CUBIO Innovation Center), Houston, TX 77054, USA
icon of social media
Join us with

Subscribe newsletter

Leave a message

* To protect against spam, please pass the CAPTCHA test below.
CAPTCHA verification
© 2007-2025 CUSABIO TECHNOLOGY LLC All rights reserved. 鄂ICP备15011166号-1
×
Place an order now

I. Product details

*
*
*
*

II. Contact details

*
*

III. Ship To

*
*
*
*
*
*
*

IV. Bill To

*
*
*
*
*
*
*
*