CD44 Recombinant Monoclonal Antibody

Code CSB-RA238730A0HU
Size US$210
Order now
Image
  • Flow cytometric analysis of CD44 expression in HT-1080 cells using CD44 antibody. Green, isotype control; red, CD44.
  • Immunocytochemical staining of HT-1080 cells with CD44 antibody. Nuclei were stained blue with DAPI; CD44 was stained magenta with Alexa Fluor® 647. Images were taken using Leica stellaris 5. Protein abundance based on laser Intensity and smart gain: Low. Scale bar, 20 μm.
  • Immunohistochemistry was performed on paraffin-embedded human bladder carcinoma using CD44 antibody. Antigen retrieval was done in sodium citrate buffer (pH 6.0). DAB was used for detection, with hematoxylin counterstaining. Images were acquired using a Nikon Ci-L Plus microscope (40× objective). Scale bar: 25 μm.
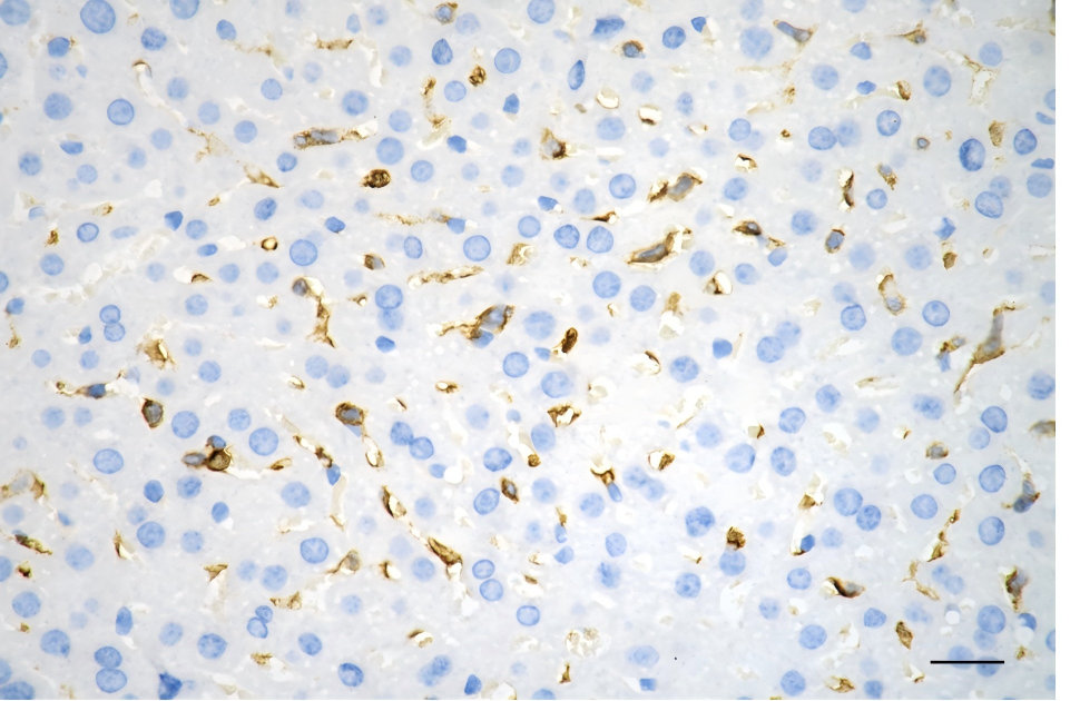
  • Immunohistochemistry was performed on paraffin-embedded mouse liver using CD44 antibody. Antigen retrieval was done in sodium citrate buffer (pH 6.0). DAB was used for detection, with hematoxylin counterstaining. Images were acquired using a Nikon Ci-L Plus microscope (40× objective). Scale bar: 25 μm.
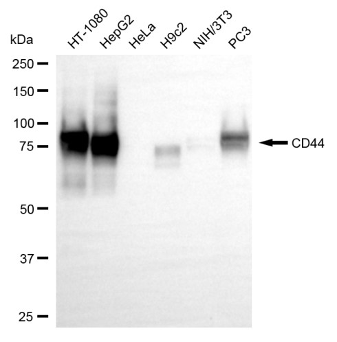
  • Western blotting analysis using CD44 antibody. Total cell lysates (30 μg) from various cell lines were loaded and separated by SDS-PAGE. The blot was incubated with CD44 antibody and HRP-conjugated goat anti-rabbit secondary antibody respectively.
Have Questions? Leave a Message or Start an on-line Chat

Product Details

Uniprot No.
Target Names
Alternative Names
CD44 Molecule (Indian Blood Group); HUTCH-I; HCELL; CSPG8; MC56; Pgp1; MDU2; MDU3; MIC4; IN; Hematopoietic Cell E- And L-Selectin Ligand; GP90 Lymphocyte Homing/Adhesion Receptor; Chondroitin Sulfate Proteoglycan 8; Extracellular Matrix Receptor III; Homing Cell Adhesion Molecule; Heparan Sulfate Proteoglycan; Phagocytic Glycoprotein 1; Phagocyte Glycoprotein 1; Hyaluronate Receptor; In(Lu) Related-P80; Hermes Antigen; CD44 Antigen; Hermes-1; ECMR-III; HUTCH-1; ECM-III; Epican; PGP-1; CD44R; CDw44; H-CAM; LHR; CD44 Antigen (Homing Function And Indian Blood Group System); Homing Function And Indian Blood Group System; Extracellular Matrix Receptor-III; Cell Surface Glycoprotein CD44; Indian Blood Group Antigen; Phagocytic Glycoprotein I; Soluble CD44; CDW44; PGP-I
Species Reactivity
Human, Rat
Immunogen
Recombinant Human CD44 protein
Immunogen Species
Homo sapiens (Human)
Conjugate
Non-conjugated
Clonality
Monoclonal
Isotype
Rabbit IgG
Clone No.
13D12
Purification Method
Affinity-chromatography
Concentration
It differs from different batches. Please contact us to confirm it.
Buffer
Rabbit IgG in PBS (pH 7.4) containing 50% glycerol, and 0.02% sodium azide.
Form
Liquid
Tested Applications
ELISA, WB, FC, ICC, IHC
Recommended Dilution
Application Recommended Dilution
WB 1:1000-1:5000
FC 1:200-1:2000
ICC 1:100-1:1000
IHC 1:100-1:200
Troubleshooting and FAQs
Storage
Upon receipt, store at -20°C or -80°C. Avoid repeated freeze.
Lead Time
Basically, we can dispatch the products out in 1-3 working days after receiving your orders. Delivery time maybe differs from different purchasing way or location, please kindly consult your local distributors for specific delivery time.
Usage
For Research Use Only. Not for use in diagnostic or therapeutic procedures.

Customer Reviews and Q&A

 Customer Reviews

There are currently no reviews for this product.

Submit a Review here

Target Background

Function
Cell-surface receptor that plays a role in cell-cell interactions, cell adhesion and migration, helping them to sense and respond to changes in the tissue microenvironment. Participates thereby in a wide variety of cellular functions including the activation, recirculation and homing of T-lymphocytes, hematopoiesis, inflammation and response to bacterial infection. Engages, through its ectodomain, extracellular matrix components such as hyaluronan/HA, collagen, growth factors, cytokines or proteases and serves as a platform for signal transduction by assembling, via its cytoplasmic domain, protein complexes containing receptor kinases and membrane proteases. Such effectors include PKN2, the RhoGTPases RAC1 and RHOA, Rho-kinases and phospholipase C that coordinate signaling pathways promoting calcium mobilization and actin-mediated cytoskeleton reorganization essential for cell migration and adhesion.
Gene References into Functions
  1. Interleukin-4 induces a CD44high /CD49bhigh PC3 subpopulation with tumor-initiating characteristics. PMID: 29236307
  2. we demonstrated that miR711mediated downregulation of CD44 expression inhibited EMT of gastric cancer cells in vitro and in vivo by downregulating vimentin protein expression and upregulating Ecadherin protein expression through transfection, qRTPCR and western blotting. PMID: 30226620
  3. Expression levels of MACC1, CD44, Twist1, and KiSS-1 are related to duration of overall survival among patients with colonic adenocarcinoma. PMID: 30021598
  4. miR-218-5p was downregulated in invasion front cells and negatively regulates oral squamous cell carcinoma invasiveness by targeting the CD44-ROCK pathway. PMID: 29990854
  5. our study demonstrated that miR-520b inhibits the malignancy of HNC through regulation of cancer stemness conversion by targeting CD44. PMID: 28515423
  6. The work identified two new host factors that may act as receptors for P. falciparum during invasion: CD44 and CD55. (Review) PMID: 29249333
  7. Reports indicate that high CD44 expression in ascites tumor cells (ATC) correlates with CSC and EMT phenotype, both regulated by the tumor microenvironment through several signaling pathways, including the TGF-beta signaling pathway. PMID: 30142697
  8. Data identified Twist1 and CD44 as novel REST targeted genes and provide new insight into the epigenetic regulation of Twist1 and CD44 by REST. PMID: 28256535
  9. Data show increased CD44 levels in ovarian cancer patient samples correlated with enhanced expression of the mesenchymal spliced variant CD44s (standard) and a concurrent decrease in the epithelial variants (CD44v). Moreover, CD44s was upregulated upon TGFbeta1-induced EMT, which was mediated through the downregulation of the splicing factor, ESRP1. Overexpression of CD44s induced EMT, invasion, and chemoresistance. PMID: 29130517
  10. The current evidence suggests that CD44 is an efficient prognostic factor in pancreatic cancer. PMID: 29683068
  11. the CD44-NRF2 axis might be a promising therapeutic target for the control of stress resistance and survival of CD44(high) CSC population within breast tumors. PMID: 29729523
  12. These results reveal a novel positive feedback loop involving CD44S and YAP1, in which CD44S functions as both an upstream regulator and a downstream effector of YAP1 in hepatocellular carcinoma. PMID: 29649630
  13. CHI3L1 expression is a novel biomarker for the prognosis of gastric cancer and these findings have thus identified CHI3L1/CD44 axis as a vital pathway and potential therapeutic target in gastric cancer . PMID: 30165890
  14. The selective binding of HA-CH-NP/siRNA to CD44-positive tumor endothelial cells. PMID: 29890852
  15. Results showed that the expression of IGF1R appears to be highly correlated with the expression of ABCG2 in osteosarcoma and with the expression of CD44 in osteosarcoma patients under age of 10. PMID: 29892839
  16. CD44 Polymorphisms are associated with Gastric Cancer. PMID: 29802692
  17. verification of the presence of stem cell-like cells in the epithelial component through the immunopositivity to Oct-4 and CD44 in benign odontogenic lesions of variable biological behaviors PMID: 29971493
  18. The genotypes CT, CT+TT, TT, and allele T in rs13347 of CD44 may be risk factors for breast cancer. PMID: 29748526
  19. Peripheral blood lymphocyte subsets in patients with lung cancer are different from those in healthy people, and circulating CD44+ and CD54+ lymphocytes seem to be a promising criterion to predict survival in lung cancer patients undergoing chemotherapy PMID: 29148014
  20. The minority of cancer stem cells would not be detected by immunohistochemistry using panCD44. PMID: 29682524
  21. CD44 regulated TLR2 responses in human macrophages, whereby a reduction in CD44 levels or engagement of CD44 by its ligand (HA) or a CD44-specific Ab reduced NF-kappaB translocation and downstream proinflammatory cytokine production. PMID: 29196459
  22. Our results suggested that CD44 expression could be used as a marker for the prediction of gastric cancer development, particularly in patients with precancerous gastric lesions carrying AG or GG, who were selected to surveillance follow-up for gastric cancer prevention. PMID: 29445738
  23. CD44 polymorphism rs13347 acts as a risk factor for cancer, especially in Chinese, while the minor allele of polymorphism rs11821102 may be associated with a decreased susceptibility to cancer PMID: 28000766
  24. ntermediate Molecular Mass Hyaluronan and CD44 interactions on PMNs potently elicit F-actin cytoskeleton polymerization and p38- and ERK1/2-MAPK phosphorylation to enhance PMN function. PMID: 28730511
  25. CD44v9 in tumor specimens has potential as a novel indicator for identifying a cisplatin-chemoresistant population among urothelial cancer patients. CD44v8-10 contributes to reactive oxygen species defenses, which are involved in chemoresistance, by promoting the function of xCT, which adjusts the synthesis of glutathione. PMID: 29385995
  26. CD44 standard isoform was especially upregulated after high-dose X-ray irradiation. PMID: 29106581
  27. Upregulated miR-373 levels and simultaneously downregulated levels of CD44 and E-cadherin were noted in this study. PMID: 29307338
  28. MiRNA-34a suppresses invasion and metastatic in esophageal squamous cell carcinoma by regulating CD44. PMID: 29094237
  29. This study using syngeneic mouse models, which better model the disease in humans than conventional xenografts, suggests that NIR-PIT with anti-CD44-IR700 is a potential candidate for the treatment of Oral cavity squamous cell carcinoma PMID: 28923838
  30. miR214 represses endogenous CD44 expression by targeting the 3'untranslated region in HeLa, Raji and Jurkat cells. PMID: 29138813
  31. This analysis indicated that corilagin is mainly involved in the glycolysis pathway. Seahorse XF96 extracellular acidification rate analysis confirmed that corilagin inhibited glycolysis by downregulation of CD44 and STAT3 PMID: 28791374
  32. an important role for HYAL2 in CD44 alternative splicing. PMID: 29162741
  33. CD146 suppresses BC progression as a target of CD44-downstream signaling PMID: 29121955
  34. based on our data, the markers CD44 and CD24 do not reflect the features of CSC and unfavorable prognosis and do not clarify the role and clinical significance of the immunophenotype CD44+/CD24-. PMID: 28967636
  35. CD44s levels correlate with EGFR signature and predict poor prognosis in glioblastomas. PMID: 28716909
  36. This study demonstrated that expression of CD44S and CD44 splice variants CD44V3, CD44V6, and CD44V10 was significantly higher in AD patients compared to non-AD controls PMID: 28550248
  37. Network analysis of overlapping genes revealed the effects on tubulins (Tubb2a, Tubb3, Tubb4b), Nfe2l2, S100a4, Cd44, and Nfkb2, all of which are linked to TBI-relevant outcomes, including epileptogenesis and tissue repair PMID: 27530814
  38. In obese patients, hepatic CD44 was strongly upregulated in NASH patients (p=0.0008) and correlated with NAFLD activity score (NAS) (p=0.001), ballooning (p=0.003), alanine transaminase (p=0.005) and hepatic CCL2 (p<0.001) and macrophage marker CD68 (p<0.001) expression. Correction of NASH was associated with a strong decrease in liver CD44(+) cells. PMID: 28323124
  39. These findings suggest that CD44v and CD44s cells play differently important roles in the progression and metastasis of GBC and the isoform switch triggers epithelial-mesenchymal transition PMID: 28677740
  40. Results suggest significant role of CD44 variants (rs13347, rs187115 and rs11821102) in modulating individual's cancer susceptibility in Asians (meta-analysis). PMID: 27521214
  41. CD44v9 may be a good biomarker for prognosis prediction and for chemoprevention or biomarker-driven therapies only for Early Gastric Cancer, and it appeared to be associated with lymph node metastasis PMID: 25779358
  42. Tunicamycin inhibited CD44s overexpression-associated cell migration. PMID: 29377347
  43. Osteopontin and CD44 play important roles in the development and progression of meningioma and can be used as prognostic markers for tumor recurrence and progression as well as therapeutic targets for the development of new drugs. PMID: 29504367
  44. CD24 and CD44 are upregulated in human pancreatic cancer compared to chronic pancreatitis and may be related to the development of pancreatic cancer. PMID: 28659655
  45. our study results showed that CD44v6 is an important regulator of GC tumorigenesis, angiogenesis, and survival in an IL-6 mediated, pSTAT3-dependent manner PMID: 28507278
  46. expressed by rheumatoid synovial fibroblasts in a MIF allele-dependent fashion and undergoes functional regulation and activation by autocrine/paracrine MIF PMID: 27872288
  47. Circulating tumor cells expressing cytokeratin and tumor-initiating cell markers, including ALDH, CD133, and CD44, were identified in patients with pancreatic adenocarcinoma. These TIC-like CTCs were associated with poor prognosis after surgical resection and with an increased incidence of tumor recurrence PMID: 27789528
  48. High CD44 expression is associated with renal cell carcinoma. PMID: 27588469
  49. FAM83D promotes HCC recurrence by promoting CD44 expression and CD44+ CSCs malignancy. PMID: 27769048
  50. Intraperitoneal enrichment of cancer stem-like cells, from ovarian cancer cell lines or primary ovarian tumor, provides a rational approach for cancer stem-like cell isolation and characterization using CD44 and prominin-1(CD133) as selection markers. PMID: 27655682

Show More

Hide All

Subcellular Location
Cell membrane; Single-pass type I membrane protein. Cell projection, microvillus.
Tissue Specificity
Isoform 10 (epithelial isoform) is expressed by cells of epithelium and highly expressed by carcinomas. Expression is repressed in neuroblastoma cells.
Database Links

HGNC: 1681

OMIM: 107269

KEGG: hsa:960

STRING: 9606.ENSP00000398632

UniGene: Hs.502328

CUSABIO guaranteed quality
icon of phone
Call us
301-363-4651 (Available 9 a.m. to 5 p.m. CST from Monday to Friday)
icon of address
Address
7505 Fannin St., Ste 610, Room 7 (CUBIO Innovation Center), Houston, TX 77054, USA
icon of social media
Join us with

Subscribe newsletter

Leave a message

* To protect against spam, please pass the CAPTCHA test below.
CAPTCHA verification
© 2007-2025 CUSABIO TECHNOLOGY LLC All rights reserved. 鄂ICP备15011166号-1
×
Place an order now

I. Product details

*
*
*
*

II. Contact details

*
*

III. Ship To

*
*
*
*
*
*
*

IV. Bill To

*
*
*
*
*
*
*
*