CDK4 Recombinant Monoclonal Antibody

Code CSB-RA086853A0HU
Size US$210
Order now
Image
  • Flow cytometric analysis of Cdk4 expression in HepG2 cells using Cdk4 antibody. Green, isotype control; red, Cdk4.
  • Immunocytochemical staining of HepG2 cells with Cdk4 antibody. Nuclei were stained blue with DAPI; Cdk4 was stained magenta with Alexa Fluor® 647. Images were taken using Leica stellaris 5. Protein abundance based on laser Intensity and smart gain: Medium. Scale bar, 20 μm.
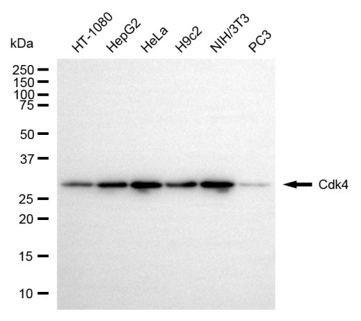
  • Western blotting analysis using Cdk4 antibody. Total cell lysates (30 μg) from various cell lines were loaded and separated by SDS-PAGE. The blot was incubated with Cdk4 antibody and HRP-conjugated goat anti-rabbit secondary antibody respectively.
Have Questions? Leave a Message or Start an on-line Chat

Product Details

Uniprot No.
Target Names
Alternative Names
CDK4; Cyclin Dependent Kinase 4; PSK-J3; Cell Division Protein Kinase 4; Cyclin-Dependent Kinase 4; EC 2.7.11.22; EC 2.7.11; CMM3
Species Reactivity
Human, Mouse, Rat
Immunogen
Recombinant Human CDK4 protein
Immunogen Species
Homo sapiens (Human)
Conjugate
Non-conjugated
Clonality
Monoclonal
Isotype
Rabbit IgG
Clone No.
17E12
Purification Method
Affinity-chromatography
Concentration
It differs from different batches. Please contact us to confirm it.
Buffer
Rabbit IgG in PBS (pH 7.4) containing 50% glycerol, and 0.02% sodium azide.
Form
Liquid
Tested Applications
ELISA, WB, FC, ICC
Recommended Dilution
Application Recommended Dilution
WB 1:1000-1:5000
FC 1:200-1:2000
ICC 1:100-1:1000
Troubleshooting and FAQs
Storage
Upon receipt, store at -20°C or -80°C. Avoid repeated freeze.
Lead Time
Basically, we can dispatch the products out in 1-3 working days after receiving your orders. Delivery time maybe differs from different purchasing way or location, please kindly consult your local distributors for specific delivery time.
Usage
For Research Use Only. Not for use in diagnostic or therapeutic procedures.

Customer Reviews and Q&A

 Customer Reviews

There are currently no reviews for this product.

Submit a Review here

Target Background

Function
Ser/Thr-kinase component of cyclin D-CDK4 (DC) complexes that phosphorylate and inhibit members of the retinoblastoma (RB) protein family including RB1 and regulate the cell-cycle during G(1)/S transition. Phosphorylation of RB1 allows dissociation of the transcription factor E2F from the RB/E2F complexes and the subsequent transcription of E2F target genes which are responsible for the progression through the G(1) phase. Hypophosphorylates RB1 in early G(1) phase. Cyclin D-CDK4 complexes are major integrators of various mitogenenic and antimitogenic signals. Also phosphorylates SMAD3 in a cell-cycle-dependent manner and represses its transcriptional activity. Component of the ternary complex, cyclin D/CDK4/CDKN1B, required for nuclear translocation and activity of the cyclin D-CDK4 complex.
Gene References into Functions
  1. Data indicate that PAQR4 has a tumorigenic effect on human breast cancers, and such effect is associated with a modulatory activity of PAQR4 on protein degradation of CDK4 PMID: 29228296
  2. MiR-340 overexpression inhibited tumor growth by regulating CDK4 expression. miR-340 functions as a tumor suppressor in non small cell lung cancer (NSCLC) cells and may provide a potential target of NSCLC treatment. PMID: 29935356
  3. CDK4 and XPO1 are not altered in a rare undifferentiated sarcoma, making them therapeutic targets PMID: 27329820
  4. while mTOR inhibitors restore endocrine sensitivity, CDK4/6 inhibitors may favor the emergence of estrogen receptor 1 (ESR1) mutations resulting in ligand-independent activity of the receptor PMID: 28685610
  5. Inhibition of CDK4/6 is potentially a highly effective strategy for the treatment of SHH and MYC-amplified group 3 medulloblastoma. PMID: 28637687
  6. SOX12 can increase the expression of CDK4 and IGF2BP1, which confer malignant phenotypes to Hepatocellular Carcinoma. PMID: 28975985
  7. Study showed that CDK4 and BCAS2 may be target genes of miR-486 and levels of CDK4 and BCAS2 were both significantly higher in the esophageal cancer tissues and cell lines than levels in the normal tissues and cells. PMID: 29115564
  8. blocking CDK4 activity efficiently eliminated both normal and chemotherapy-resistant cancer cells in triple negative breast cancers, highlighting CDK4 as a promising novel therapeutic target for these aggressive breast tumors. PMID: 27759034
  9. Amplification of gene CDK4 is associated with lung adenocarcinoma. PMID: 28381877
  10. Ongoing trials of doublet and triplet targeted therapies containing ribociclib seek to identify optimal CDK4/6-based targeted combination regimens for various tumor types and advance the field of precision therapeutics in oncology PMID: 28351928
  11. Palbociclib induces activation of AMPK and inhibits hepatocellular carcinoma in a CDK4/6-independent manner PMID: 28453226
  12. The combination of ribociclib, a dual inhibitor of cyclin-dependent kinase (CDK) 4 and 6, and the ALK inhibitor ceritinib demonstrated higher cytotoxicity and synergy scores (P = 0.006) in cell lines with ALK mutations as compared with cell lines lacking mutations or alterations in ALK . PMID: 27986745
  13. Results showed that CDK4 expression was up-regulated in colorectal carcinoma and suggested that cdc37 increased the stability of CDK4 to activate RB1 which ultimately promotes G1-S transition. PMID: 29288563
  14. Data show that sulfatase 1 (hSulf-1) overexpression in melanoma cells can inhibit cell proliferation and induce cell cycle arrest and apoptosis by decreasing the protein kinase B (AKT) phosphorylation and limiting cyclin dependent kinase 4 (CDK4) nuclear import. PMID: 27806323
  15. we here show that subgroups of SDCs display genomic amplifications of MDM2 and/or CDK4, partly in association with TP53 mutations and rearrangement/amplification of HMGA2. PMID: 27662657
  16. CDK4/6 inhibition suppressed cell cycle progression of ER+/HER2- brreast cancer models. PMID: 27564114
  17. Proliferating tumor stem cells with high telomerase expression are suitable targets for CDK4/6 inhibitor, palbociclib. PMID: 28039467
  18. PRMT5 inhibited the interaction between CDK4 and CDKN2A and then activated the CDK4-RB-E2F pathway in hepatocellular carcinoma cells under glucose induction. PMID: 27708221
  19. This is the first clinical study exploring the use of a CDK4/6 inhibitor in a pediatric population. In this phase I study, we established the maximum tolerated dose (MTD) and recommended phase II dose (RP2D) of single-agent ribociclib in pediatric patients with neuroblastoma, MRTs, or other cancers with documented cyclin D-CDK4/6-INK4-retinoblastoma pathway aberrations PMID: 28432176
  20. Ribociclib (an oral, highly specific cyclin-dependent kinase 4/6 inhibitor) inhibits tumor growth. PMID: 27542767
  21. network-based rigidity analysis and emulation of thermal unfolding of the Cdk4-cyclin D complex and Hsp90-Cdc37-Cdk4 complex revealed weak spots of kinase instability that are present in the native Cdk4 structure and are targeted by the chaperone during client recruitment PMID: 29267381
  22. The study of 140 cases confirms that the incidence of MDM2/CDK4 amplification is low (5%) in large and/or deep-seated (subfascial) lipomatous neoplasms with histological features of a lipoma (or lipoma variant). PMID: 27020493
  23. miR-486-5p inhibits non-small cell lung cancer progression by down-regulating the expression of CDK4. PMID: 27049724
  24. Combined PI3Kalpha and CDK4/6 inhibition significantly improved disease control in human xenograft models compared with either monotherapy. PMID: 28947417
  25. High amplification levels of CDK4 is associated with dedifferentiated liposarcoma. PMID: 29153098
  26. Activation of cdk4 triggers NAFLD. PMID: 27373160
  27. Our results show that combined exogenous expression of hTERT and mutant CDK4 is an effective method to generate single-cell-derived Cancer-associated fibroblasts (CAFs) clones. This provides an innovative and suitable approach to investigate the heterogeneous function and phenotype of CAFs PMID: 28364361
  28. these findings support that PIKE amplification or overexpression coordinately acts with CDK4 to drive glioblastoma tumorigenesis. PMID: 28368413
  29. Specific E2Fs also have prognostic value in breast cancer, independent of clinical parameters. We discuss here recent advances in understanding of the RB-E2F pathway in breast cancer. We also discuss the application of genome-wide genetic screening efforts to gain insight into synthetic lethal interactions of CDK4/6 inhibitors in breast cancer for the development of more effective combination therapies. PMID: 26923330
  30. p16 in combination with MDM2 and CDK4 immunohistochemistry may help in the differential diagnosis of atypical lipomatous tumor/well-differentiated liposarcoma and dedifferentiated liposarcoma. PMID: 27597521
  31. conclude that p16 is highly sensitive for retroperitoneal DDL. However, the lack of specificity limits the diagnostic utility compared with the more established markers MDM2 and CDK4 PMID: 26509911
  32. CDK4 overexpression is associated with cancer. PMID: 27206849
  33. High CDK4 expression is associated with Melanoma. PMID: 26988987
  34. Staining for MDM2 and CDK4 was noted in 25/56 and 23/56 atypical lipomatous tumor/well-differentiated liposarcoma (ALT/WDL), respectively, giving a sensitivity of 45% and 41% and a specificity of 98% and 92%. Staining was noted exclusively in the nuclei of atypical cells and not in the nuclei of adipocytes. Staining for MDM2 and CDK4 occurred in 2/125 and 10/117 benign lipomatous lesions, respectively. PMID: 27508976
  35. Cdk4 inhibition leads to directing human mesenchymal stem cells to a multipotent neurogenic fate by inactivating Smads-STAT3 signaling. PMID: 27192561
  36. Reduced SIRT2 expression during tumorigenesis failed to repress cyclindependent kinase 4 expression, which eventually led to accelerated cell proliferation. PMID: 28259910
  37. older patients with head and neck squamous cell carcinoma and lung cancer have raised serums CDK4 levels, which has the potential to emerge as a biomarker in clinical practice PMID: 27815686
  38. we illustrate that the miR-124/CDK4 axis plays an important role in radiation sensitivity of human esophageal cancer cells by targeting CDK4. PMID: 27323123
  39. MiR-16 upregulation could reduce CDK4 expression. PMID: 26383521
  40. both miR-613 mimics and inhibitors could decrease and increase CDK4 protein levels in non-small cell lung cancer-derived cells, respectively. PMID: 26744345
  41. Upregulation of CDK4 expression is associated with gastric cancer. PMID: 26735582
  42. Our studies demonstrate that CDK4 and miR-15a comprise an abnormal automodulatory feedback loop stimulating the pathogenesis and inducing chemotherapy resistance in nasopharyngeal carcinoma . PMID: 26993269
  43. miR-539 plays an important role in the initiation and progression of nasopharyngeal carcinoma by targeting CDK4. PMID: 26559153
  44. The concept that cotargeting MEK and CDK4/6 would prove efficacious in KRAS-mutant (KRAS(mt)) colorectal cancers. PMID: 26369631
  45. This review highlights our current understanding of CDK signaling in both normal and malignant breast tissues, with special attention placed on recent clinical advances in inhibition of CDK4/6 in ER+ disease PMID: 26857361
  46. concurrent inhibition of ESR1 and the cyclin-dependent kinases 4 and 6 (CDK4/6) significantly increased progression-free survival in advanced patients PMID: 25991817
  47. amplification of HMGA2 was associated with the atypical lipomatous tumor/well-differentiated liposarcoma histological type and a good prognosis, whereas CDK4 and JUN amplifications were associated with dedifferentiated liposarcoma histology PMID: 26336885
  48. CDK4 Amplification Reduces Sensitivity to CDK4/6 Inhibition in Fusion-Positive Rhabdomyosarcoma PMID: 25810375
  49. Observations disclose the presence of CDK4 protein in human erythrocytes and its involvement in suicidal erythrocyte death. PMID: 26418250
  50. Data show that the p16/CDKN2A-cyclin-dependent kinase 4 (CDK4)-RB1 protein pathway is frequently disrupted in fibrosarcomatous dermatofibrosarcoma protuberans (FS-DFSP). PMID: 25852058

Show More

Hide All

Involvement in disease
Melanoma, cutaneous malignant 3 (CMM3)
Subcellular Location
Cytoplasm. Nucleus. Nucleus membrane.
Protein Families
Protein kinase superfamily, CMGC Ser/Thr protein kinase family, CDC2/CDKX subfamily
Database Links

HGNC: 1773

OMIM: 123829

KEGG: hsa:1019

STRING: 9606.ENSP00000257904

UniGene: Hs.95577

CUSABIO guaranteed quality
icon of phone
Call us
301-363-4651 (Available 9 a.m. to 5 p.m. CST from Monday to Friday)
icon of address
Address
7505 Fannin St., Ste 610, Room 7 (CUBIO Innovation Center), Houston, TX 77054, USA
icon of social media
Join us with

Subscribe newsletter

Leave a message

* To protect against spam, please pass the CAPTCHA test below.
CAPTCHA verification
© 2007-2025 CUSABIO TECHNOLOGY LLC All rights reserved. 鄂ICP备15011166号-1
×
Place an order now

I. Product details

*
*
*
*

II. Contact details

*
*

III. Ship To

*
*
*
*
*
*
*

IV. Bill To

*
*
*
*
*
*
*
*