ATXN3, Ataxin-3, alias A7LFZ5, ATX3, D6RDL9, E9PB63, MJD1, SCA3, etc. ATXN3 is encoded by the human ATXN3 gene, which is located on chromosome 14q32.1. ATXN3 plays an important role in protein quality control and degradation, and is involved in the degradation of proteins through deubiquitination and the regulation of protein aggregation.
ATXN3 plays an important role in neurodegenerative diseases, particularly in SCA3. Mutations in ATXN3 may lead to protein aggregation and neuronal cell dysfunction. Malfunction of ATXN3 may lead to neuronal health problems and other neurodegenerative disorders, where aberrant regulation of ATXN3 may affect neuronal cell survival and function.
ATXN3 Antibody (CSB-PA002443LA01HU)
Validated Data
Western blot
All lanes: ATXN3 antibody at 2µg/ml
Lane 1: 293T whole cell lysate
Lane 2: Mouse brain tissue
Lane 3: MCF-7 whole cell lysate
Secondary
Goat polyclonal to rabbit IgG at 1/10000 dilution
Predicted band size: 42, 36, 40, 21 kDa
Observed band size: 42 kDa
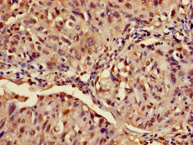
Immunohistochemistry of paraffin-embedded human lung cancer using CSB-PA002443LA01HU at dilution of 1:100
Immunohistochemistry of paraffin-embedded human pancreatic tissue using CSB-PA002443LA01HU at dilution of 1:100
The following ATXN3 reagents supplied by CUSABIO are manufactured under a strict quality control system. Multiple applications have been validated and solid technical support is offered.
ATXN3 Antibodies for Homo sapiens (Human)
| Code | Product Name | Species Reactivity | Application |
|---|---|---|---|
| CSB-PA002443GA01HU | ATXN3 Antibody | Human,Mouse,Rat | ELISA,WB,IHC |
| CSB-PA002443LA01HU | ATXN3 Antibody | Human, Mouse | ELISA, WB, IHC |
ATXN3 Proteins for Homo sapiens (Human)
| Code | Product Name | Source |
|---|---|---|
| CSB-YP002443HU CSB-BP002443HU CSB-MP002443HU CSB-EP002443HU-B |
Recombinant Human Ataxin-3 (ATXN3) | Yeast Baculovirus Mammalian cell In Vivo Biotinylation in E.coli |
| CSB-EP002443HU | Recombinant Human Ataxin-3 (ATXN3) | E.coli |
ATXN3 Proteins for Rattus norvegicus (Rat)
| Code | Product Name | Source |
|---|---|---|
| CSB-YP002443RA CSB-EP002443RA CSB-BP002443RA CSB-MP002443RA CSB-EP002443RA-B |
Recombinant Rat Ataxin-3 (Atxn3) | Yeast E.coli Baculovirus Mammalian cell In Vivo Biotinylation in E.coli |
ATXN3 Proteins for Mus musculus (Mouse)
| Code | Product Name | Source |
|---|---|---|
| CSB-YP863445MO CSB-BP863445MO CSB-EP863445MO-B |
Recombinant Mouse Ataxin-3 (Atxn3) | Yeast Baculovirus In Vivo Biotinylation in E.coli |
ATXN3 Proteins for Gallus gallus (Chicken)
| Code | Product Name | Source |
|---|---|---|
| CSB-YP894318CH CSB-EP894318CH CSB-BP894318CH CSB-MP894318CH CSB-EP894318CH-B |
Recombinant Chicken Ataxin-3 (ATXN3) | Yeast E.coli Baculovirus Mammalian cell In Vivo Biotinylation in E.coli |