PIK3CB Recombinant Monoclonal Antibody

Code CSB-RA152277A0HU
Size US$210
Order now
Image
  • Flow cytometric analysis of PI3 Kinase p110 beta expression in HT-1080 cells using PI3 Kinase p110 beta antibody. Green, isotype control; red, PI3 Kinase p110 beta.
  • Immunocytochemical staining of HepG2 cells with PI3 Kinase p110 beta antibody. Nuclei were stained blue with DAPI; PI3 Kinase p110 beta was stained magenta with Alexa Fluor® 647. Images were taken using Leica stellaris 5. Protein abundance based on laser Intensity and smart gain: Medium. Scale bar, 20 μm.
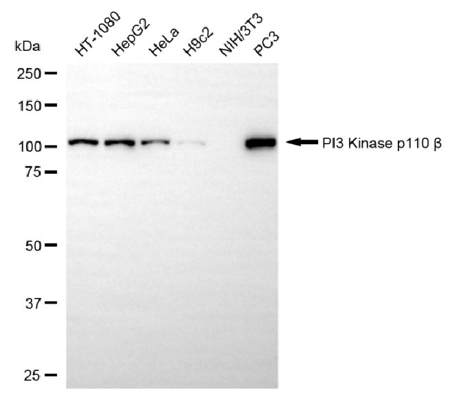
  • Western blotting analysis using PI3 Kinase p110 beta antibody. Total cell lysates (30 μg) from various cell lines were loaded and separated by SDS-PAGE. The blot was incubated with PI3 Kinase p110 beta antibody and HRP-conjugated goat anti-rabbit secondary antibody respectively.
Have Questions? Leave a Message or Start an on-line Chat

Product Details

Uniprot No.
Target Names
Alternative Names
Phosphatidylinositol-4,5-Bisphosphate 3-Kinase; Catalytic SubunitBeta; PI3K; PIK3C1; PI3KBETA; Phosphoinositide-3-Kinase; Catalytic; Beta Polypeptide; Phosphatidylinositol 4,5-Bisphosphate 3-Kinase Catalytic Subunit Beta Isoform; Phosphatidylinositol 4,5-Bisphosphate 3-Kinase 110 KDa Catalytic Subunit Beta; Phosphatidylinositol-4,5-Bisphosphate 3-Kinase 110 KDa Catalytic Subunit Beta; PtdIns-3-Kinase Subunit Beta; PI3-Kinase P110 Subunit Beta; PtdIns-3-Kinase Subunit P110-Beta; PtdIns-3-Kinase P110; PI3K-beta; PI3Kbeta; PI3-Kinase Subunit Beta; p110beta; EC 2.7.1.153; PI3KCB; P110BETA; EC 2.7.1
Species Reactivity
Human, Rat
Immunogen
Recombinant Human PIK3CB protein
Immunogen Species
Homo sapiens (Human)
Conjugate
Non-conjugated
Clonality
Monoclonal
Isotype
Rabbit IgG
Clone No.
21H6
Purification Method
Affinity-chromatography
Concentration
It differs from different batches. Please contact us to confirm it.
Buffer
Rabbit IgG in PBS (pH 7.4) containing 50% glycerol, and 0.02% sodium azide.
Form
Liquid
Tested Applications
ELISA, WB, FC, ICC
Recommended Dilution
Application Recommended Dilution
WB 1:1000-1:5000
FC 1:200-1:2000
ICC 1:100-1:1000
Troubleshooting and FAQs
Storage
Upon receipt, store at -20°C or -80°C. Avoid repeated freeze.
Lead Time
Basically, we can dispatch the products out in 1-3 working days after receiving your orders. Delivery time maybe differs from different purchasing way or location, please kindly consult your local distributors for specific delivery time.
Usage
For Research Use Only. Not for use in diagnostic or therapeutic procedures.

Customer Reviews and Q&A

 Customer Reviews

There are currently no reviews for this product.

Submit a Review here

Target Background

Function
Phosphoinositide-3-kinase (PI3K) phosphorylates phosphatidylinositol derivatives at position 3 of the inositol ring to produce 3-phosphoinositides. Uses ATP and PtdIns(4,5)P2 (phosphatidylinositol 4,5-bisphosphate) to generate phosphatidylinositol 3,4,5-trisphosphate (PIP3). PIP3 plays a key role by recruiting PH domain-containing proteins to the membrane, including AKT1 and PDPK1, activating signaling cascades involved in cell growth, survival, proliferation, motility and morphology. Involved in the activation of AKT1 upon stimulation by G-protein coupled receptors (GPCRs) ligands such as CXCL12, sphingosine 1-phosphate, and lysophosphatidic acid. May also act downstream receptor tyrosine kinases. Required in different signaling pathways for stable platelet adhesion and aggregation. Plays a role in platelet activation signaling triggered by GPCRs, alpha-IIb/beta-3 integrins (ITGA2B/ ITGB3) and ITAM (immunoreceptor tyrosine-based activation motif)-bearing receptors such as GP6. Regulates the strength of adhesion of ITGA2B/ ITGB3 activated receptors necessary for the cellular transmission of contractile forces. Required for platelet aggregation induced by F2 (thrombin) and thromboxane A2 (TXA2). Has a role in cell survival. May have a role in cell migration. Involved in the early stage of autophagosome formation. Modulates the intracellular level of PtdIns3P (phosphatidylinositol 3-phosphate) and activates PIK3C3 kinase activity. May act as a scaffold, independently of its lipid kinase activity to positively regulate autophagy. May have a role in insulin signaling as scaffolding protein in which the lipid kinase activity is not required. May have a kinase-independent function in regulating cell proliferation and in clathrin-mediated endocytosis. Mediator of oncogenic signal in cell lines lacking PTEN. The lipid kinase activity is necessary for its role in oncogenic transformation. Required for the growth of ERBB2 and RAS driven tumors.
Gene References into Functions
  1. This study identifies novel mechanistic biomarkers of PI3Kb inhibition in PTEN-null tumors supporting the concept that targeting PI3Kb may exploit a metabolic dependency that contributes to therapeutic benefit in inducing cell stress PMID: 28972046
  2. PI3K p110beta Overexpression in Non-small Cell Lung Cancer PMID: 29277178
  3. GSK2636771 400 mg once daily orally induced sufficient exposure and target inhibition with a manageable safety profile. Genomic aberrations of PIK3CB may be associated with clinical benefit from GSK2636771 PMID: 28645941
  4. Silencing CRKL expression in PTEN-null human cancer cells leads to a decrease in p110beta-dependent PI3K signaling and cell proliferation. PMID: 28723560
  5. PI3Kbeta associated with N-cadherin and PIK3CB depletion selectively disrupted N-cadherin cell adhesions in PTEN-mutant bladder carcinoma. PMID: 27863432
  6. Results demonstrate that high levels of PIK3CB/p110beta associate with the early stages of endometrial tumorigenesis and increased cell proliferation, suggesting a proliferative advantage. These findings provide evidence that PIK3CB contributes to some of the pleiotropic functions of PI3K in endometrial cancer, particularly in cell proliferation. PMID: 28002804
  7. High expression level of PIK3CB is associated with recurrence in glioblastoma. PMID: 26956052
  8. Taken together, our findings suggested that miR-126 alleviates ox-LDL-induced HUVECs injury through restoring autophagy flux via repressing PI3K/Akt/mTOR pathway, and further implicate the potential therapeutic targets to reverse atherosclerosis. PMID: 29203244
  9. Cholesterol crystals activate specific cell signalling pathways which drive the production of inflammatory cytokines and degradative enzymes known to contribute to disease initiation and progression and are dependent on activation of Syk and PI3K PMID: 27356299
  10. In acute schizophrenia patients, the mRNA expression levels of DRD2 and PI3KCB were significantly lower than those in the healthy controls, while the AKT1 mRNA levels were significantly higher than those in the healthy controls. PMID: 27449010
  11. inhibition of Rac or PI3K impedes adhesion of breast cancer cells and melanoma cells to the brain endothelium. PMID: 26645485
  12. data suggest that Rac1 can potentiate the activation of PI3Kbeta by GPCRs through an indirect mechanism, by driving the formation of macropinosomes that serve as signaling platforms for Gbetagamma coupling to PI3Kbeta. PMID: 29046393
  13. The protein kinase activity of PI3K phosphorylates serine residue 70 on Src to enhance its activity and induce EGFR transactivation following betaAR stimulation. PMID: 27169346
  14. CONCLUSION: MiR-126 down-regulated S1PR2 and then prevented the activation of PI3K/AKT signaling pathway, which ultimately could damage intestinal mucosal barrier function. PMID: 28302479
  15. We further demonstrate that loss of one allele of PTEN is sufficient to shift isoform dependency from p110alpha to p110beta in vivo. These results provide insight into the molecular mechanism by which ErbB2-positive breast cancer escapes p110alpha inhibition. PMID: 28783168
  16. TLR4 and C5aR crosstalk in dendritic cells induces a core regulatory network of RSK2, PI3Kbeta, SGK1, and FOXO transcription factors. PMID: 28733463
  17. Taken together, these results suggested that the PI3K/Akt/FoxO pathway negatively regulates the BITC-induced antiproliferation in human colorectal cancer cells. PMID: 28712871
  18. Single nucleotide polymorphism in the PIK3CB gene is associated with inflammation in chronic kidney disease. PMID: 27190335
  19. High PIK3CB expression is associated with breast Tumor Metastasis. PMID: 27013201
  20. People with allelic variation in four genes related to cardiovascular diseases and metabolism were more likely to die: apolipoprotein (APO)C1 GG and AG carriers, APOE varepsilon4 carriers, insulin-degrading enzyme (IDE) TC carriers, and phosphatidylinositol 3-kinase (PI3KCB) GG carriers. PMID: 27806189
  21. These findings highlight the importance of the hVps34-SGK3 pathway in counteracting inhibition of PI3K/Akt signalling. PMID: 27481935
  22. We demonstrated trophoblast cytoprotection by intervention with supraphysiological concentrations of relaxin, a process in part mediated through the PI3-kinase-Akt/PKB cell survival pathway. These results provide further rationale for clinical investigation of relaxin as a potential therapeutic in preeclampsia. PMID: 28122716
  23. Likewise, inhibiting the PI3K-AKT-mTOR pathway with the ATP-competitive mTOR inhibitor PP242 reduced CD44 protein in SNU-423 and SNU-449 cells without altering CD44 mRNA levels. PMID: 28442344
  24. In conclusion, our data suggest that SIRPalpha signaling through SHP-2-PI3K-Akt2 strongly influences osteoblast differentiation from bone marrow stromal cells. PMID: 27422603
  25. Cav-1 expression may be especially up-regulated in larger uveal melanomas. As it was correlated with PI3K expression and vasculogenic mimicry (VM) in this series of uveal melanoma, Cav-1 might induce the formation of VM via the PI3K-signalling cascade. PMID: 26590370
  26. upregulation of miR-31 targeting ITGA5 may suppress tumor cell invasion and metastasis by indirectly regulating PI3K/AKT signaling pathway in human SGC7901 GC cells PMID: 26729197
  27. miR-130a plays a critical role in attenuation of cardiac dysfunction and remodeling after myocardial infarction. The mechanisms involve activation of PI3K/Akt signaling via suppression of PTEN expression. PMID: 26458524
  28. Our study demonstrates that the IGF1R/p110b/AKT/mTOR axis confers resistance to BYL719 in PIK3CA mutant breast cancers. PMID: 27048245
  29. our findings provide for the first time that PF-04691502 inhibits the constitutively activated PI3K/mTOR pathway in aggressive B-cell NHL cell lines associated with inhibition of cell cycle progression, cell proliferation and promotion of apoptosis. PMID: 26549638
  30. expression levels distinguish chronic lymphocytic leukemia B cells from normal B lymphocytes PMID: 26318878
  31. Our findings provide new insight into the genetic mechanisms underlying PI3K pathway activation in human tumors and indicate that PIK3Cb(D1067V) is a rational therapeutic target in certain cancers. PMID: 25982275
  32. PIK3CB D1067Y mutant behaved as an oncogene and transformed normal cells, an activity that was enhanced by PTEN depletion. PMID: 26759240
  33. Mefloquine acts on gastric cancer cells via suppressing PI3K/Akt/mTOR pathway. PMID: 26780727
  34. Our data suggested a potential role of Rab11-FIP2 in tumor progression and provided novel insights into the mechanism of how Rab11-FIP2 positively regulated cell migration and invasion in CRC cells. PMID: 26792722
  35. Our study demonstrates that CSE/H2S system is regulated by miR-216a, and regulates ABCA1-mediated cholesterol efflux and cholesterol levels through the PI3K/AKT pathway. PMID: 26772887
  36. The results of this study demomstrated that PI3 kinase mutations as novel prognostic markers in gliomas. PMID: 26699864
  37. TNFR1 Regulates Ovarian Cancer Cell Tumorigenicity Through PIK3CB-p110Beta PMID: 26122654
  38. PIK3CB is critically involved in response to preoperative radiotherapy and may serve as a novel target for therapeutic intervention. PMID: 25473181
  39. Overexpression of P110BETA accelerated differentiation in C2C12 cells and primary human myoblasts through an Akt-dependent mechanism, while expression of kinase-inactive P110BETA had the opposite effect. PMID: 25605332
  40. Platelet PI3Kbeta and GSK3 regulate thrombus stability at a high shear rate. PMID: 25398937
  41. PI3Kbeta regulates the nuclear envelope through upstream regulation of RCC1 and Ran PMID: 25348717
  42. Phosphoinositide 3-kinase beta mediates microvascular endothelial repair of thrombotic microangiopathy. PMID: 25139353
  43. The score was higher in metastatic compared to primary lesions (P<0.001) and was significantly associated with potential measures of PI3K activation PMID: 24995579
  44. PI3Kbeta expression was elevated significantly in lung squamous cell carcinomas (SCC) compared with adenocarcinomas PMID: 24284056
  45. results suggested that down-regulation of p110beta expression by siRNA obviously reduced cell number via accumulation in G(0)-G(1) phase of the cell cycle. PMID: 22528234
  46. HSP20 directly associates with PI3K subunits and suppresses its activity in hepatocellular carcinoma, resulting in the inhibition of the AKT pathway, and subsequently decreasing the growth of hepatocellular carcinoma. PMID: 24223153
  47. genetic association study in a population in Sweden: Data suggest that, among patients with growth hormone deficiency treated with hormone replacement therapy, homozygotes with SNP rs361072 in PIK3CB respond better than those with the major allele. PMID: 24114431
  48. Data sugget that the E633K mutant activates p110beta by enhancing its basal association with membranes. PMID: 23734178
  49. In mammalian cells, p110beta acts as a molecular sensor for growth factor availability and induces autophagy by activating a Rab5-mediated signaling cascade. PMID: 23434372
  50. Disrupting the p110beta-Gbetagamma interaction by mutation or with a cell-permeable peptide inhibitor blocked the transforming capacity of PI3Kbeta in fibroblasts and reduced the proliferation, chemotaxis, and invasiveness PMID: 23211529

Show More

Hide All

Subcellular Location
Cytoplasm. Nucleus. Note=Interaction with PIK3R2 is required for nuclear localization and export.
Protein Families
PI3/PI4-kinase family
Tissue Specificity
Expressed ubiquitously.
Database Links

HGNC: 8976

OMIM: 602925

KEGG: hsa:5291

STRING: 9606.ENSP00000289153

UniGene: Hs.239818

CUSABIO guaranteed quality
icon of phone
Call us
301-363-4651 (Available 9 a.m. to 5 p.m. CST from Monday to Friday)
icon of address
Address
7505 Fannin St., Ste 610, Room 7 (CUBIO Innovation Center), Houston, TX 77054, USA
icon of social media
Join us with

Subscribe newsletter

Leave a message

* To protect against spam, please pass the CAPTCHA test below.
CAPTCHA verification
© 2007-2025 CUSABIO TECHNOLOGY LLC All rights reserved. 鄂ICP备15011166号-1
×
Place an order now

I. Product details

*
*
*
*

II. Contact details

*
*

III. Ship To

*
*
*
*
*
*
*

IV. Bill To

*
*
*
*
*
*
*
*