IL22, interleukin 22, is a cytokine produced by immune cells such as Th17 cells, Th22 cells, and innate lymphocytes.IL22 functions primarily in barrier tissues such as the gut, liver, lung, and skin. Its mechanism of action involves binding to the specific receptor IL22R, which consists of IL22RA1 and IL10RB subunits. Upon binding, IL22 activates the JAK/STAT signalling pathway, particularly the phosphorylation of STAT3, which in turn regulates the expression of target genes. This signalling pathway is involved in the regulation of cell proliferation, differentiation, tissue repair, and anti-microbial responses.IL22 is important for maintaining the integrity of the epithelial cell barrier, promoting tissue regeneration after injury, and regulating host defence mechanisms. Its role in inflammatory bowel disease, liver disease, and skin disease is of particular interest, and its ability to regulate immune responses and promote tissue repair makes it a potential target for the treatment of these diseases.
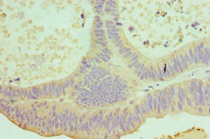
IL22 Antibody (CSB-PA867113ESR1HU)
Validated Data
Immunohistochemistry of paraffin-embedded human colon cancer using CSB-PA867113ESR1HU at dilution of 1:100
Mouse Interleukin 22(IL-22) ELISA Kit (CSB-E13513m)
Validated Data
Code: CSB-E13513m
Size: 96T,5×96T,10×96T
Sensitivity: 0.078 ng/mL
Detection Range: 0.312 ng/mL-20 ng/mL
These standard curves are provided for demonstration only. A standard curve should be generated for each set of samples assayed.
The following IL22 reagents supplied by CUSABIO are manufactured under a strict quality control system. Multiple applications have been validated and solid technical support is offered.
IL22 Antibodies for Homo sapiens (Human)
| Code | Product Name | Species Reactivity | Application |
|---|---|---|---|
| CSB-PA011635GA01HU | IL22 Antibody | Human,Mouse,Rat | ELISA,WB |
| CSB-PA867113ESR1HU | IL22 Antibody | Human | ELISA, IHC |
| CSB-RA867113MA1HU | IL22 Recombinant Monoclonal Antibody | Human | ELISA, IHC |
IL22 Proteins for Homo sapiens (Human)
| Code | Product Name | Source |
|---|---|---|
| CSB-YP867113HU CSB-EP867113HU CSB-BP867113HU CSB-MP867113HU CSB-EP867113HU-B |
Recombinant Human Interleukin-22 (IL22) | Yeast E.coli Baculovirus Mammalian cell In Vivo Biotinylation in E.coli |
| CSB-AP001891HU | Recombinant Human Interleukin-22 protein (IL22) (Active) | E.Coli |
| CSB-AP004361HU | Recombinant Human Interleukin-22 (IL22) (Active) | E.coli |
IL22 Proteins for Mus musculus (Mouse)
| Code | Product Name | Source |
|---|---|---|
| CSB-YP872862MO CSB-EP872862MO CSB-BP872862MO CSB-MP872862MO CSB-EP872862MO-B |
Recombinant Mouse Interleukin-22 (Il22) | Yeast E.coli Baculovirus Mammalian cell In Vivo Biotinylation in E.coli |
| CSB-AP003401MO | Recombinant Mouse Interleukin-22 protein (Il22) (Active) | E.coli |
IL22 ELISA Kit for Mus musculus (Mouse)
| Code | Product Name | Sample Types | Sensitivity |
|---|---|---|---|
| CSB-E13513m | Mouse Interleukin 22(IL-22) ELISA Kit | serum, plasma, cell culture supernates, tissue homogenates | 0.078 ng/mL |
IL22 ELISA Kit for Homo sapiens (Human)
| Code | Product Name | Sample Types | Sensitivity |
|---|---|---|---|
| CSB-E13418h | Human Interleukin 22(IL-22) ELISA KIT | serum, plasma, tissue homogenates | 19.5 pg/ml |
| CSB-E13418h-IS | Human Interleukin 22(IL-22) ELISA KIT | serum, plasma, tissue homogenates, cell culture supernates | 0.98 pg/mL |