PIK3R3 Recombinant Monoclonal Antibody

Code CSB-RA791880A0HU
Size US$210
Order now
Image
  • Western Blot
    , Positive WB detected in:Mouse brain tissue lysate(30µg), Rat brain lysate(30µg)
    All lanes: PI3 kinase p55 antibody at 1:1000
    Secondary
    Goat polyclonal to rabbit IgG at 1/40000 dilution
    Predicted band size: 54 kDa
    Observed band size: 54 kDa
    Exposure time:120s
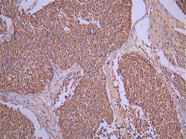
  • IHC image of CSB-RA791880A0HU diluted at 1:100 and staining in paraffin-embedded human lung cancer performed on a Leica BondTM system. After dewaxing and hydration, antigen retrieval was mediated by high pressure in a citrate buffer (pH 6.0). Section was blocked with 10% normal goat serum 30min at RT. Then primary antibody (1% BSA) was incubated at 4°C overnight. The primary is detected by a Goat anti-rabbit polymer IgG labeled by HRP and visualized using 0.05% DAB.
  • Overlay Peak curve showing MCF-7 cells stained with CSB-RA791880A0HU (red line) at 1:100. The cells were fixed in 4% formaldehyde and permeated by 0.2% TritonX-100 for 10min. Then 10% normal goat serum to block non-specific protein-protein interactions followed by the antibody (1ug/1*106cells) for 45min at 4℃. The secondary antibody used was FITC-conjugated goat anti-rabbit IgG (H+L) at 1/200 dilution for 35min at 4℃.Control antibody (green line) was Rabbit IgG (1ug/1*106cells) used under the same conditions. Acquisition of >10, 000 events was performed.
Have Questions? Leave a Message or Start an on-line Chat

Product Details

Uniprot No.
Target Names
Alternative Names
DKFZp686P05226 antibody; FLJ41892 antibody; OTTHUMP00000009783 antibody; OTTHUMP00000009786 antibody; p55 antibody; p55 gamma antibody; P55G_HUMAN antibody; p55PIK antibody; Phosphatidylinositol 3 kinase regulatory subunit gamma antibody; Phosphatidylinositol 3 kinase regulatory subunit polypeptide 3 antibody; Phosphatidylinositol 3 kinase, regulatory subunit, polypeptide 3 (p55, gamma) antibody; Phosphatidylinositol 3-kinase 55 kDa regulatory subunit gamma antibody; Phosphatidylinositol 3-kinase regulatory subunit gamma antibody; Phosphoinositide 3 kinase regulatory subunit 3 (gamma) antibody; Phosphoinositide 3 kinase regulatory subunit 3 antibody; Phosphoinositide 3 kinase regulatory subunit polypeptide 3 antibody; Phosphoinositide 3 kinase, regulatory subunit 3 (p55, gamma) antibody; Phosphoinositide 3 kinase, regulatory subunit, polypeptide 3 (p55, gamma) antibody; PI3 kinase p85 subunit gamma antibody; PI3-kinase regulatory subunit gamma antibody; PI3-kinase subunit p55-gamma antibody; PI3K regulatory subunit gamma antibody; Pik3r3 antibody; PtdIns 3 kinase p85 gamma antibody; PtdIns-3-kinase regulatory subunit gamma antibody; PtdIns-3-kinase regulatory subunit p55-gamma antibody
Species Reactivity
Human, Mouse, Rat
Immunogen
A synthesized peptide from human PIK3R3 protein
Immunogen Species
Homo sapiens (Human)
Conjugate
Non-conjugated
Clonality
Monoclonal
Isotype
Rabbit IgG
Clone No.
2E2
Purification Method
Affinity-chromatography
Concentration
It differs from different batches. Please contact us to confirm it.
Buffer
Rabbit IgG in 10mM phosphate buffered saline , pH 7.4, 150mM sodium chloride, 0.05% BSA, 0.02% sodium azide and 50% glycerol.
Form
Liquid
Tested Applications
ELISA, WB, IHC, FC
Recommended Dilution
Application Recommended Dilution
WB 1:500-1:5000
IHC 1:50-1:200
FC 1:50-1:200
Troubleshooting and FAQs
Storage
Upon receipt, store at -20°C or -80°C. Avoid repeated freeze.
Lead Time
Basically, we can dispatch the products out in 1-3 working days after receiving your orders. Delivery time maybe differs from different purchasing way or location, please kindly consult your local distributors for specific delivery time.
Usage
For Research Use Only. Not for use in diagnostic or therapeutic procedures.

Customer Reviews and Q&A

 Customer Reviews

There are currently no reviews for this product.

Submit a Review here

Target Background

Function
Binds to activated (phosphorylated) protein-tyrosine kinases through its SH2 domain and regulates their kinase activity. During insulin stimulation, it also binds to IRS-1.
Gene References into Functions
  1. Results showed that PIK3R3 was upregulated in colorectal cancer (CRC) tissues and inversely correlated with miR-411 expression. Its expression is regulated by miR-411 which targets its 3'UTR. PMID: 29207180
  2. PIK3R3 could promote the metastasis of Pancreatic Cancer by facilitating ZEB1 induced Epithelial-Mesenchymal Transition. PMID: 29719293
  3. Using case-control study and functional analyses, study have identified SNP rs7536272 A > G, located in the promoter region of PIK3R3, acts as a risk factor of GC through enhancing the transcriptional activity of PIK3R3, contributing to increased expression of PIK3R3. PMID: 29802999
  4. The findings suggest that miR-212 acts as a tumor suppressor in colorectal cancer by directly targeting PIK3R3. PMID: 28944887
  5. miR-181a2/181b2 prominently dampened cell-cycle progression, suppressed cell growth, and promoted apoptosis of tumor cells in vitro They also effectively impeded tumor formation and growth in vivo miR-181a2/181b2 exert the tumor suppressor ability by depressing the direct target PIK3R3 (p55gamma) and consequently modulating the PIK3R3/Akt/FoxO signaling pathway PMID: 27503199
  6. p55PIK significantly stimulated the expression of AFP by activating NF-kappaB signaling pathway in hepatocellular carcinoma cells. PMID: 28970114
  7. Study showed that PIK3R3 was a target of miR-365 and its expression was upregulated and inversely correlated with miR-365 expression in glioma tissues. PMID: 28260020
  8. PIK3R3 is a direct and functional downstream target of miR-152. PIK3R3 expression was upregulated and was inversely correlated with miR-152 expression in clinical CRC tissues. Downregulation of PIK3R3 mimicked the tumor-suppressive effects of miR-152 overexpression in CRC cells. PMID: 26820128
  9. p55PIK-PI3K signaling can contribute to imatinib resistance in gastrointestinal stromal tumors by increasing KIT expression. PMID: 26587973
  10. The proliferation, migration and invasion was decreased in ovarian SKOV3 when HOTAIR or PIK3R3 was silenced. PMID: 26826873
  11. PIK3R3 was identified as a crucial target gene of miR-132. PMID: 26252738
  12. our findings provide new insights into tumor suppression by miR-511 by negatively regulating the PIK3R3/AKT/mTOR signaling pathway PMID: 25608840
  13. p55PIK could be a substrate of activated caspase 6 during paraquat-induced apoptosis, leading to loss of original biological functions and redistribution to disturb cell cycle progression. PMID: 24130211
  14. TGF-beta/NKX2.1/PIK3R3 axis is crucial in the TGF-beta-induced inhibition of cell proliferation, and the NKX2.1/PIK3R3 axis might become a target in TGF-beta receptor-repressed lung adenocarcinoma PMID: 25371235
  15. p55gamma sequentially up-regulated p53 and p21, resulting in cell-cycle arrest in S phase; small-interfering RNA knockdown of either p53 or p21 blocked p55gamma-induced vascular smooth muscle cell growth arrest. PMID: 25388664
  16. Overexpression of PIK3R3 depends on SNAI2, inducing significant epithelial-to-mesenchymal transition (EMT). PMID: 24837077
  17. discovered that ERBB4 and S6K2 were the direct targets of miR-193a-3p and that PIK3R3 and mTOR were the direct targets of miR-193a-5p in non-small-cell lung cancer PMID: 24469061
  18. study shows that the p53/miR-148b/p55PIK axis has an important role in cell proliferation and tumor growth, and may represent a novel therapeutic target for treating cancers containing p53 mutations or losses. PMID: 24632606
  19. PIK3R3, ITGB1, ITGAL, and ITGA6, were involved in the regulation of actin cytoskeleton that link to triple-negative breast cancer migration. PMID: 24982892
  20. Containing the N24 of PI3K-p55PIK. PMID: 23904382
  21. our results show that the-PCNA interaction is important in regulating DNA synthesis and contributes to tumorigenesis. PMID: 23939377
  22. Data show that miR-7 inhibits the effects of TLR9 signaling on lung cancer cells through regulation of the PIK3R3/Akt pathway. PMID: 23135998
  23. PIK3R3 was up-regulated in gastric cancer and promoted cell cycle progression and proliferation. PMID: 22876838
  24. A fusion peptide containing the p55PIK amino terminus, TAT-N24, which not only inhibited cell proliferation, but also stimulated differentiation. PMID: 22722333
  25. IGF2-PIK3R3 signaling axis is involved in promoting the growth of a subclass of highly aggressive human glioblastomas that lack EGF receptor amplification. PMID: 17360667
  26. We have identified novel nonclassical mediators of the SREBP-1 response, including p55gamma, supporting the hypothesis that SREBP-1 regulates stress response and signaling genes. PMID: 17452746

Show More

Hide All

Protein Families
PI3K p85 subunit family
Tissue Specificity
Highest levels in brain and testis. Lower levels in adipose tissue, kidney, heart, lung and skeletal muscle.
Database Links

HGNC: 8981

OMIM: 606076

KEGG: hsa:8503

STRING: 9606.ENSP00000262741

UniGene: Hs.655387

CUSABIO guaranteed quality
icon of phone
Call us
301-363-4651 (Available 9 a.m. to 5 p.m. CST from Monday to Friday)
icon of address
Address
7505 Fannin St., Ste 610, Room 7 (CUBIO Innovation Center), Houston, TX 77054, USA
icon of social media
Join us with

Subscribe newsletter

Leave a message

* To protect against spam, please pass the CAPTCHA test below.
CAPTCHA verification
© 2007-2025 CUSABIO TECHNOLOGY LLC All rights reserved. 鄂ICP备15011166号-1
×
Place an order now

I. Product details

*
*
*
*

II. Contact details

*
*

III. Ship To

*
*
*
*
*
*
*

IV. Bill To

*
*
*
*
*
*
*
*