Orthodenticle homeobox 2 (OTX2) is a homeodomain-containing transcription factor, aliased as OTX-2 or CRGX. It governs embryonic development of the forebrain, midbrain, and sensory organs (e.g., eyes) by regulating gene expression. OTX2 interacts with Wnt and BMP signaling pathways to control cell proliferation, differentiation, and tissue patterning, ensuring proper morphogenesis.
OTX2 mutations cause congenital ocular disorders (anophthalmia, microphthalmia) and neurodevelopmental defects. In cancer, it acts as an oncogene in medulloblastoma and retinal tumors, sustaining self-renewal of tumor cells. Preclinical studies explore small-molecule inhibitors targeting its DNA-binding domain or peptide mimetics disrupting protein interactions to suppress tumor growth.
Recombinant Human Homeobox protein OTX2 (OTX2) (CSB-EP017299HU)
Validated Data
(Tris-Glycine gel) Discontinuous SDS-PAGE (reduced) with 5% enrichment gel and 15% separation gel.
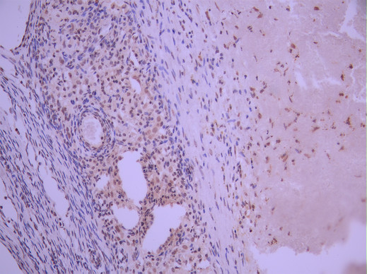
OTX1/OTX2 Recombinant Monoclonal Antibody (CSB-RA209742A0HU)
Validated Data
IHC image of CSB-RA209742A0HU diluted at 1:100 and staining in paraffin-embedded human ovarian cancer performed on a Leica BondTM system. After dewaxing and hydration, antigen retrieval was mediated by high pressure in a citrate buffer (pH 6.0). Section was blocked with 10% normal goat serum 30min at RT. Then primary antibody (1% BSA) was incubated at 4°C overnight. The primary is detected by a Goat anti-rabbit polymer IgG labeled by HRP and visualized using 0.05% DAB.
Immunofluorescence staining of Hela cell with CSB-RA209742A0HU at 1:50 , counter-stained with DAPI. The cells were fixed in 4% formaldehyde, permeabilized using 0.2% Triton X-100 and blocked in 10% normal Goat Serum. The cells were then incubated with the antibody overnight at 4°C. The secondary antibody was Alexa Fluor 488-congugated AffiniPure Goat Anti-Rabbit IgG(H+L).
The following OTX2 reagents supplied by CUSABIO are manufactured under a strict quality control system. Multiple applications have been validated and solid technical support is offered.
OTX2 Antibodies for Homo sapiens (Human)
| Code | Product Name | Species Reactivity | Application |
|---|---|---|---|
| CSB-PA017299GA01HU | OTX2 Antibody | Human,Mouse,Rat | ELISA,WB,IHC |
| CSB-PA017299LA01HU | OTX2 Antibody | Human, Mouse | ELISA, WB, IHC |
| CSB-PA017299LB01HU | OTX2 Antibody, HRP conjugated | Human | ELISA |
| CSB-PA017299LC01HU | OTX2 Antibody, FITC conjugated | Human | |
| CSB-PA017299LD01HU | OTX2 Antibody, Biotin conjugated | Human | ELISA |
| CSB-PA017299ESR1HU | OTX2 Antibody | Human | ELISA, IHC |
OTX2 Antibodies for Danio rerio (Zebrafish) (Brachydanio rerio)
| Code | Product Name | Species Reactivity | Application |
|---|---|---|---|
| CSB-PA835528XA01DIL | otx2 Antibody | Danio rerio (Zebrafish) (Brachydanio rerio) | ELISA, WB (ensure identification of antigen) |
OTX2 Antibodies for Mus musculus (Mouse)
| Code | Product Name | Species Reactivity | Application |
|---|---|---|---|
| CSB-PA017299ZA01MO | Otx2 Antibody | Mus musculus | ELISA, WB (ensure identification of antigen) |
OTX2 Proteins for Mus musculus (Mouse)
| Code | Product Name | Source |
|---|---|---|
| CSB-YP017299MO CSB-BP017299MO CSB-MP017299MO CSB-EP017299MO-B |
Recombinant Mouse Homeobox protein OTX2 (Otx2) | Yeast Baculovirus Mammalian cell In Vivo Biotinylation in E.coli |
| CSB-EP017299MO | Recombinant Mouse Homeobox protein OTX2 (Otx2) | E.coli |
OTX2 Proteins for Xenopus tropicalis (Western clawed frog) (Silurana tropicalis)
| Code | Product Name | Source |
|---|---|---|
| CSB-YP630728XBF CSB-EP630728XBF CSB-BP630728XBF CSB-MP630728XBF CSB-EP630728XBF-B |
Recombinant Xenopus tropicalis Homeobox protein OTX2 (otx2) | Yeast E.coli Baculovirus Mammalian cell In Vivo Biotinylation in E.coli |
OTX2 Proteins for Rattus norvegicus (Rat)
| Code | Product Name | Source |
|---|---|---|
| CSB-YP737344RA CSB-EP737344RA CSB-BP737344RA CSB-MP737344RA CSB-EP737344RA-B |
Recombinant Rat Homeobox protein OTX2 (Otx2) | Yeast E.coli Baculovirus Mammalian cell In Vivo Biotinylation in E.coli |
OTX2 Proteins for Danio rerio (Zebrafish) (Brachydanio rerio)
| Code | Product Name | Source |
|---|---|---|
| CSB-YP835528DIL CSB-EP835528DIL CSB-BP835528DIL CSB-MP835528DIL CSB-EP835528DIL-B |
Recombinant Danio rerio Homeobox protein OTX2 (otx2) | Yeast E.coli Baculovirus Mammalian cell In Vivo Biotinylation in E.coli |
OTX2 Proteins for Homo sapiens (Human)
| Code | Product Name | Source |
|---|---|---|
| CSB-EP017299HU | Recombinant Human Homeobox protein OTX2 (OTX2) | E.coli |
| CSB-YP017299HU CSB-BP017299HU CSB-MP017299HU CSB-EP017299HU-B |
Recombinant Human Homeobox protein OTX2 (OTX2) | Yeast Baculovirus Mammalian cell In Vivo Biotinylation in E.coli |