MTOR Recombinant Monoclonal Antibody

Code CSB-RA199852A0HU
Size US$210
Order now
Image
  • Flow cytometric analysis of phospho-mTOR (S2448) expression in HeLa cells using phospho-mTOR (S2448) antibody. Green, isotype control; red, phospho-mTOR (S2448).
  • Immunocytochemical staining of HeLa cells with phospho-mTOR (S2448) antibody. Nuclei were stained blue with DAPI; Phospho-mTOR (S2448) was stained magenta with Alexa Fluor® 647. Images were taken using Leica stellaris 5. Protein abundance based on laser Intensity and smart gain: Medium. Scale bar, 20 μm.
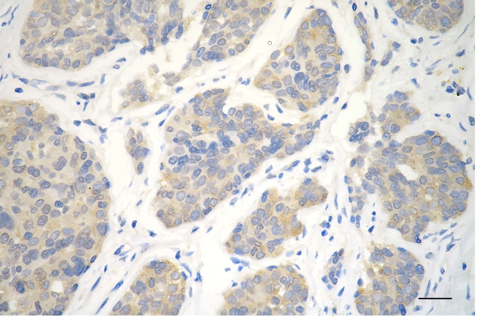
  • Immunohistochemistry was performed on paraffin-embedded human breast carcinoma using phospho-mTOR (S2448) antibody. Antigen retrieval was done in sodium citrate buffer (pH 6.0). DAB was used for detection, with hematoxylin counterstaining. Images were acquired using a Nikon Ci-L Plus microscope (40× objective). Scale bar: 25 μm.
  • Western blotting analysis using phospho-mTOR (S2448) antibody. Total cell lysates (30 μg) from various cell lines were loaded and separated by SDS-PAGE. The blot was incubated with phospho-mTOR (S2448) antibody and HRP-conjugated goat anti-rabbit secondary antibody respectively.
Have Questions? Leave a Message or Start an on-line Chat

Product Details

Uniprot No.
Target Names
Alternative Names
Mechanistic Target Of Rapamycin Kinase; RAFT1; RAPT1; Rapamycin And FKBP12 Target 1; Mammalian Target Of Rapamycin; FRAP1; FRAP2; FRAP; FK506-Binding Protein 12-Rapamycin Complex-Associated Protein 1; Mechanistic Target Of Rapamycin (Serine/Threonine Kinase); FK506 Binding Protein 12-Rapamycin Associated Protein 2; FKBP12-Rapamycin Complex-Associated Protein 1; Serine/Threonine-Protein Kinase MTOR; Rapamycin Associated Protein FRAP2; FKBP-Rapamycin Associated Protein; Mechanistic Target Of Rapamycin; Rapamycin Target Protein 1; FLJ44809; DJ576K7.1 (FK506 Binding Protein 12-Rapamycin Associated Protein 1); FK506 Binding Protein 12-Rapamycin Associated Protein 1; FKBP12-Rapamycin Complex-Associated Protein; Rapamycin Target Protein; EC 2.7.11.1; MTOR; SKS
Species Reactivity
Human, Mouse, Rat
Immunogen
Recombinant Human MTOR protein
Immunogen Species
Homo sapiens (Human)
Conjugate
Non-conjugated
Clonality
Monoclonal
Isotype
Rabbit IgG
Clone No.
14A10
Purification Method
Affinity-chromatography
Concentration
It differs from different batches. Please contact us to confirm it.
Buffer
Rabbit IgG in PBS (pH 7.4) containing 50% glycerol, and 0.02% sodium azide.
Form
Liquid
Tested Applications
ELISA, WB, FC, ICC, IHC
Recommended Dilution
Application Recommended Dilution
WB 1:1000-1:5000
FC 1:200-1:2000
ICC 1:100-1:1000
IHC 1:100-1:200
Troubleshooting and FAQs
Storage
Upon receipt, store at -20°C or -80°C. Avoid repeated freeze.
Lead Time
Basically, we can dispatch the products out in 1-3 working days after receiving your orders. Delivery time maybe differs from different purchasing way or location, please kindly consult your local distributors for specific delivery time.
Usage
For Research Use Only. Not for use in diagnostic or therapeutic procedures.

Customer Reviews and Q&A

 Customer Reviews

There are currently no reviews for this product.

Submit a Review here

Target Background

Function
Serine/threonine protein kinase which is a central regulator of cellular metabolism, growth and survival in response to hormones, growth factors, nutrients, energy and stress signals. MTOR directly or indirectly regulates the phosphorylation of at least 800 proteins. Functions as part of 2 structurally and functionally distinct signaling complexes mTORC1 and mTORC2 (mTOR complex 1 and 2). Activated mTORC1 up-regulates protein synthesis by phosphorylating key regulators of mRNA translation and ribosome synthesis. This includes phosphorylation of EIF4EBP1 and release of its inhibition toward the elongation initiation factor 4E (eiF4E). Moreover, phosphorylates and activates RPS6KB1 and RPS6KB2 that promote protein synthesis by modulating the activity of their downstream targets including ribosomal protein S6, eukaryotic translation initiation factor EIF4B, and the inhibitor of translation initiation PDCD4. This also includes mTORC1 signaling cascade controlling the MiT/TFE factors TFEB and TFE3: in the presence of nutrients, mediates phosphorylation of TFEB and TFE3, promoting their cytosolic retention and inactivation. Upon starvation or lysosomal stress, inhibition of mTORC1 induces dephosphorylation and nuclear translocation of TFEB and TFE3, promoting their transcription factor activity. Stimulates the pyrimidine biosynthesis pathway, both by acute regulation through RPS6KB1-mediated phosphorylation of the biosynthetic enzyme CAD, and delayed regulation, through transcriptional enhancement of the pentose phosphate pathway which produces 5-phosphoribosyl-1-pyrophosphate (PRPP), an allosteric activator of CAD at a later step in synthesis, this function is dependent on the mTORC1 complex. Regulates ribosome synthesis by activating RNA polymerase III-dependent transcription through phosphorylation and inhibition of MAF1 an RNA polymerase III-repressor. In parallel to protein synthesis, also regulates lipid synthesis through SREBF1/SREBP1 and LPIN1. To maintain energy homeostasis mTORC1 may also regulate mitochondrial biogenesis through regulation of PPARGC1A. mTORC1 also negatively regulates autophagy through phosphorylation of ULK1. Under nutrient sufficiency, phosphorylates ULK1 at 'Ser-758', disrupting the interaction with AMPK and preventing activation of ULK1. Also prevents autophagy through phosphorylation of the autophagy inhibitor DAP. Also prevents autophagy by phosphorylating RUBCNL/Pacer under nutrient-rich conditions. Prevents autophagy by mediating phosphorylation of AMBRA1, thereby inhibiting AMBRA1 ability to mediate ubiquitination of ULK1 and interaction between AMBRA1 and PPP2CA. mTORC1 exerts a feedback control on upstream growth factor signaling that includes phosphorylation and activation of GRB10 a INSR-dependent signaling suppressor. Among other potential targets mTORC1 may phosphorylate CLIP1 and regulate microtubules. As part of the mTORC2 complex MTOR may regulate other cellular processes including survival and organization of the cytoskeleton. Plays a critical role in the phosphorylation at 'Ser-473' of AKT1, a pro-survival effector of phosphoinositide 3-kinase, facilitating its activation by PDK1. mTORC2 may regulate the actin cytoskeleton, through phosphorylation of PRKCA, PXN and activation of the Rho-type guanine nucleotide exchange factors RHOA and RAC1A or RAC1B. mTORC2 also regulates the phosphorylation of SGK1 at 'Ser-422'. Regulates osteoclastogenesis by adjusting the expression of CEBPB isoforms. Plays an important regulatory role in the circadian clock function; regulates period length and rhythm amplitude of the suprachiasmatic nucleus (SCN) and liver clocks. Phosphorylates SQSTM1, promoting interaction between SQSTM1 and KEAP1 and subsequent inactivation of the BCR(KEAP1) complex.
Gene References into Functions
  1. Silencing of TRPC5 and inhibition of autophagy reverses adriamycin drug resistance in breast carcinoma via CaMKKbeta/AMPKalpha/mTOR pathway. PMID: 28600513
  2. Studies indicate that understanding mTOR network circuitry will provide insight into its deregulation in diabetes, cancer, and cardiovascular disease, but modeling in silico to elucidate how insulin activates mTORC2 remains poorly defined. PMID: 22457328
  3. L-type amino acid transporter 1 (LAT1) inhibitor, BCH reduces the phosphorylation of mechanistic target of rapamycin kinase (mTOR) in fibroblast-like synoviocytes from patients with rheumatoid arthritis. mTOR inhibitor, temsirolimus, neutralizes the stimulation of interleukin-17 on LAT1. PMID: 29198077
  4. These results indicate that, under stressful conditions, maintained mTORC1 signaling in cancer cells promotes survival by suppressing endogenous DNA damage, and may control cell fate through the regulation of CHK1. PMID: 28484242
  5. Results demonstrated that ASCT2 and pmTOR protein levels were significantly higher in epithelial ovarian cancer (EOC) tissues and predicting a poor prognosis. The expression levels of ASCT2 and pmTOR in EOC were positively correlated indicating a synergistic effect on the growth and development of early EOC. PMID: 30272366
  6. DEPTOR interaction with mTOR represses its kinase activity and rewires the mTOR signaling pathway. [review] PMID: 29897294
  7. both SphK1 overexpression and S1P addition increased mTOR phosphorylation as shown by ELISA, while S1PR2 inhibition had the inverse effect. These data suggest that CerS6 and SphK1 regulate mTOR signaling in breast cancer cell proliferation. Moreover, mTOR activity can be regulated by the balance between S1P and C16ceramide, which is generated by CerS6. PMID: 30226616
  8. Study demonstrate that the miR-495 exerts promotive effects on GC chemosensitivity via inactivation of the mTOR signaling pathway by suppressing ERBB2. The study provides reliable evidence supporting the use of miR-495 as a novel potential target in the chemotherapy of GC. PMID: 30147110
  9. a functional convergence between the mTOR pathway and IFITM3 proteins at endolysosomal membranes. PMID: 30301809
  10. data on TFEB nucleo-cytoplasmic shuttling suggest an unpredicted role of mTOR in nuclear export. PMID: 30120233
  11. In this review, we assess the use of mTOR inhibitors to treat age-related pathologies, discuss possible molecular mechanisms of action where evidence is available, and consider strategies to minimize undesirable side effects. PMID: 30096787
  12. The expression of CXCR4 and mTOR were found to be negatively correlated with remission. Kaplan-Meier analysis indicated a significant decrease in the rate of progression-free survival (PFS) and in that of overall survival (OS) in patients positive for CXCR4 and mTOR expression. PMID: 28952842
  13. results demonstrated that SSd induces autophagy through the CaMKKbeta-AMPK-mTOR signalling pathway in Autosomal dominant polycystic kidney disease (ADPKD) cells, indicating that SSd might be a potential therapy for ADPKD and that SERCA might be a new target for ADPKD treatment. PMID: 29675630
  14. findings indicated that shikonin inhibits proliferation and promotes apoptosis in human endometrioid endometrial cancer (EEC) cells by modulating the miR-106b/PTEN/AKT/mTOR signaling pathway, suggesting shikonin could act a potential therapeutic agent in the EEC treatment. PMID: 29449346
  15. Mammalian target of rapamycin pathway promotes aerobic glycolysis in esophageal squamous cell carcinoma by upregulating pyruvate kinase M2 isoform PMID: 29916308
  16. The p53 dependence of Plk2 loss and tumor suppressor function in relationship to mTOR signaling may have therapeutic implications. PMID: 29448085
  17. Expression of miRNAs Targeting mTOR and S6K1 Genes of mTOR Signaling Pathway Including miR-96, miR-557, and miR-3182 in Triple-Negative Breast Cancer. PMID: 29862445
  18. these findings uncover a novel mechanism by which PML loss may contribute to mTOR activation and cancer progression via dysregulation of basal DDIT4 gene expression. PMID: 28332630
  19. High mTOR expression is associated with periodontitis. PMID: 30218719
  20. This review intends to provide an outline of the principal biological and molecular functions of mTOR. PMID: 30110936
  21. High mTOR expression is associated with Pancreatic Ductal Adenocarcinoma Metastasis. PMID: 29386088
  22. High mTOR expression is associated with prostate cancer. PMID: 29566977
  23. Studies indicate that dysregulation leads to a number of metabolic pathological conditions, including obesity and type 2 diabetes [Review]. PMID: 30011848
  24. In ASS1-knockout cells, DEPTOR, an inhibitor of mTORC1 signal, was downregulated and mTORC1 signaling was more activated in response to arginine. PMID: 28358054
  25. This review addresses the role of mTOR-dependent autophagy dysfunction in a variety of neuropsychiatric disorders, to focus mainly on psychiatric syndromes including schizophrenia and drug addiction. [review] PMID: 30061532
  26. This article reviews the role of mTOR in cellular processes involved in cancer cachexia and highlights the studies supporting the contribution of mTOR in cancer cachexia. [review] PMID: 30061533
  27. High mTOR expression is associated with aggressive pathology in urologic cancers. PMID: 29657089
  28. miR-212 and mTOR signalings may form a positive regulation loop in maintaining cellular homeostasis. PMID: 30021100
  29. High p-mTOR expression is associated with increased lymphangiogenesis and lymph node metastasis in prostate adenocarcinoma. PMID: 29544697
  30. RIO kinase 3 (RIOK3) positively regulates the activity of the AKT/mTOR pathway in glioma cells. PMID: 29233656
  31. Targeted profiling of RNA translation reveals mTOR-4EBP1/2-independent translation regulation of mRNAs encoding ribosomal proteins. PMID: 30224479
  32. Results show that mTOR expression is regulated by PPP2R2D which influences its protein phosphorylation level contributing to gastric cancer progression. PMID: 29568966
  33. We performed quantitative mass spectrometry of IAV1918-infected cells to measure host protein dysregulation. Selected proteins were validated by immunoblotting and phosphorylation levels of members of the PI3K/AKT/mTOR pathway were assessed. PMID: 29866590
  34. Using an mTORspecific signalling pathway phospho array we revealed that NVPBEZ235 significantly decreased phosphorylation of 4EBP1 (Thr70), the downstream target of mTORC1. PMID: 29845289
  35. The essential role of mTOR in the endocrine therapy resistance in estrogen receptor-positive, HER2-negative breast cancer.[review] PMID: 29086897
  36. MiR-206 inhibits the development of epithelial ovarian cancer cell by directly targeting c-Met and inhibiting the c-Met/AKT/mTOR signaling pathway. PMID: 29807226
  37. our findings identified LSD1 as a novel negative regulator of autophagy through the mTOR signaling pathway in ovarian cancer HO8910 cells and indicated that LSD1 may function as a driving factor of ovarian cancer progression via deregulating autophagy. PMID: 29749504
  38. These results suggested that silibinin induced glioblastoma cell apoptosis concomitant with autophagy which might be due to simultaneous inhibition of mTOR and YAP and silibinin induced autophagy exerted a protective role against cell apoptosis in both A172 and SR cells. PMID: 29780826
  39. BEX4 positively regulated the expression of OCT4, silencing of which reduced the proliferation of A549 and H1975cells with over-expressed BEX4. PMID: 29660335
  40. Study demonstrates that high mTOR expression is associated with poor clinical outcome in acute lymphoblastic leukemia. PMID: 29076004
  41. mTOR drives innate-like antibody responses by linking proximal transmembrane activator and CAML interactor signaling events with distal immunometabolic transcription programs. PMID: 29133782
  42. piperine reduced the expression of pAkt, MMP9 and pmTOR. Together, these data indicated that piperine may serve as a promising novel therapeutic agent to better overcome prostate cancer metastasis. PMID: 29488612
  43. Generation of 2-hydroxyglutarate by mutated IDH1/2 leads to the activation of mTOR by inhibiting KDM4A. PMID: 27624942
  44. High mTOR expression is associated with gastric cancer. PMID: 29328491
  45. The authors demonstrate that, particularly when autophagy is upregulated, varicella-zoster virus inhibits mTOR-mediated late-stage autophagic flux, likely at the point where autophagosomes and lysosomes fuse or where vesicle contents are degraded. Importantly, inhibition of autophagy yields higher varicella-zoster virus titers. PMID: 30053655
  46. Identification of a functional mTOR targeted multigene signature robustly discriminates between normal prostate tissues, primary tumors, and hormone refractory metastatic samples but is also predictive of cancer recurrence PMID: 28724614
  47. 2-ME reduced the production of CTGF and collagen I in SSc fibroblasts induced by hypoxia through PI3K/Akt/mTOR/HIF-1alpha signalling and inhibited the proliferation of fibroblasts. These findings suggested that 2-ME could be employed as a promising antifibrotic therapy for SSc PMID: 29905853
  48. miR33a5p inhibited the proliferation of lung adenocarcinoma cells, enhanced the antitumor effect of celastrol, and improved sensitivity to celastrol by targeting mTOR in lung adenocarcinoma in vitro and in vivo PMID: 29484434
  49. miR-181 may be a novel and important regulator of cisplatin-resistant non-small cell lung cancer by serving a role in the regulation of apoptosis, as an established rate-limiting miRNA target. PMID: 29484437
  50. Evaluation of the potential mechanism demonstrated that TRIM28 promoted cervical cancer cell growth by activating the mammalian target of rapamycin (mTOR) signaling pathway. In support of this finding, TRIM28-induced cell proliferation was abolished by treatment with everolimus, a specific mTOR inhibitor PMID: 29393469

Show More

Hide All

Involvement in disease
Smith-Kingsmore syndrome (SKS); Focal cortical dysplasia 2 (FCORD2)
Subcellular Location
Endoplasmic reticulum membrane; Peripheral membrane protein; Cytoplasmic side. Golgi apparatus membrane; Peripheral membrane protein; Cytoplasmic side. Mitochondrion outer membrane; Peripheral membrane protein; Cytoplasmic side. Lysosome. Cytoplasm. Nucleus, PML body. Microsome membrane. Lysosome membrane. Cytoplasmic vesicle, phagosome.
Protein Families
PI3/PI4-kinase family
Tissue Specificity
Expressed in numerous tissues, with highest levels in testis.
Database Links

HGNC: 3942

OMIM: 601231

KEGG: hsa:2475

STRING: 9606.ENSP00000354558

UniGene: Hs.338207

CUSABIO guaranteed quality
icon of phone
Call us
301-363-4651 (Available 9 a.m. to 5 p.m. CST from Monday to Friday)
icon of address
Address
7505 Fannin St., Ste 610, Room 7 (CUBIO Innovation Center), Houston, TX 77054, USA
icon of social media
Join us with

Subscribe newsletter

Leave a message

* To protect against spam, please pass the CAPTCHA test below.
CAPTCHA verification
© 2007-2025 CUSABIO TECHNOLOGY LLC All rights reserved. 鄂ICP备15011166号-1
×
Place an order now

I. Product details

*
*
*
*

II. Contact details

*
*

III. Ship To

*
*
*
*
*
*
*

IV. Bill To

*
*
*
*
*
*
*
*